整形外科向け 超音波画像診断装置SNiBLE2
整形外科向け 超音波画像診断装置SNiBLE2
認証番号:301ABBZX00053000
整形外科外来における超音波診断

皆川洋至先生
城東整形外科 副院長
超音波検査は聴診器感覚で手軽に扱えるため、単純X線写真、CT、MRIのように検査対象の制約をうけません。
身体所見を取りながら目的とする画像を描出し、画像を観察しながら身体所見を再度確認する、すなわち臨床所見と画像所見の間に時間差がありません。したがって、超音波検査は外来診療の中で使いこなしてこそ最大限にその威力を発揮します。
さらに、装置そのものがほかの画像診断装置に比較して安価で、無駄な放射線被ばくの回避、患者の待ち時間短縮など、患者負担や医療費削減に大きく貢献します。
以上を背景に、整形外科外来診療における画像診断の第一選択が、これまでの単純X線写真から超音波画像へと移り変わり始めています。
整形外科外来における超音波診断
超音波画像は装置の電源を入れ、プローブに専用ゼリーを塗って体表にあてるだけで、簡単、瞬時に描出できることが特徴です。

超音波装置の構造
超音波を送受信する部分を「プローブ」、画像を映し出す部分を「モニター」または「ディスプレイ」、画像調整やデータ管理などを行う部分を「操作パネル」または「操作コンソール」と呼びます。

プローブの選択
整形外科疾患の主病変は、多くが皮下3cm 以内に存在します。したがって、通常は周波数12MHz 以上の高周波リニアプローブを使用します。
製品の特長
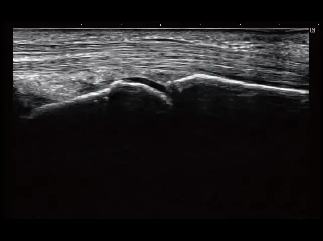
プレミアムクラスに迫る画質を実現
高感度広帯域プローブ(L18-4)
高感度化と広帯域化を両立するため、プローブの先端部にある音響整合層には、高度なシミュレーション技術で導き出した独自の多層整合層構造を開発・採用しました。

超音波画像とカメラ画像を同時表示
Camera Link
カメラで撮影した映像を、診断中の超音波画像に重ねて表示します。表示した画像は、静止画と動画で記録でき、動画記録時は音声情報も保存できます。超音波画像と一緒に、検査状況がリアリティをもって記録されるため、後から検査状態を確認する際や、他者への説明に便利です。
*専用のカメラ・その他付属品はオプション品です。

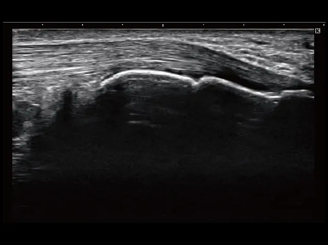
高い分解能と深度を両立
T2HI®(Triad Tissue Harmonic Imaging)
独自開発の超広帯域高周波プローブと画像エンジンを組み合わせ、帯域内に入ってくる多くの差音/和音/高調波を送受信することに成功しました。この技術を用いることで、高い分解能とペネトレーションを両立させた画像を提供します。

高画質を実現する
Dual Sonic® 技術
開口中央部は広帯域の送信波形、辺縁部は深部に有効に働く低周波成分を含む深部用の送信波形を形成。2種類の送信波形により最適な超音波ビームを形成することで、浅部領域での音響ノイズ混入を抑制し高い分解能を実現するとともに、送受信効率の最大化により、深部の描出能向上も同時に達成しました。

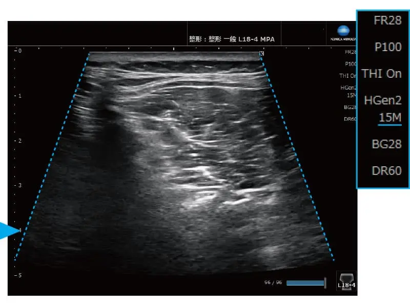
簡単操作で画像を最適化
MPA® 機能(Multi Parameter Adjuster)
表示深度を変更するだけで、あらかじめ設定した画質パラメーターが適用されます。例えば、表示深度を浅くすると高周波に、深くすると低周波や台形走査へ自動的に切り替わります。

≪深度:浅い≫ 台形走査OFF

≪深度:深い≫ 台形走査ON
限りなくシンプルに
少ないハードキーで直感的な操作性を追及
使用頻度が高い8個のハードキーとトラックボール、タッチパネル操作を組み合わせて操作できます。タッチパネルの軽快なレスポンスとカスタマイズに対応したハードキーで、ストレスのない検査を実現しました。

日本語表示に対応。
ユーザーにやさしいインターフェース
よく使う機能を画面上にアイコンとしてレイアウトすることができ、ユーザーオリジナルの検査画面を設定することができます。

ワンタッチレイアウト変更
2画面表示(上下/左右)
浅部を多用する運動器診断をストレスなく行うため、上下2画面表示を搭載。左右表示が必要な場合もワンタッチ操作で切り替えが可能です。

より広い領域を一画面に
パノラミックビュー
プローブをスライドさせるだけの簡単操作により広範囲な画像を取得できます。解剖学的な位置関係の把握に役立ちます。
対応プローブ:L18-4、L11-3、L14-4

診療の正確性をサポートするライブラリ機能
SDカードに記録した超音波画像や動画などを装置で再生。エコーを初めて導入する方でも、多くの動画コンテンツを参照しながら手技を学んでいくことができます。また、静止画/動画をマイライブラリに保存しておき、必要に応じて参照できます。
*コンテンツ(SDカード)はオプション品です。
| SDカードの内容: | |
| 整形外科 | 総合診療科 |
| 1.手 | 1.腰痛 肩こり 五十肩の診断 |
| 2.肘 | 2.腹痛 |
| 3.肩 | 3.胸痛 |
| 4.膝 | 4.頭頚部 |
| 5.足 | 5.末梢神経 |
| 6.Intervention | 6.関節 |
| ※2022年2月現在 | |

場所や用途を選ばない
「つながる」フレキシブルな設計
カードリーダー・バーコードリーダー対応のほか、電子カルテやUnitea®上の患者情報をワンクリックで連携できます。これにより、入力間違えの防止や診断の効率化が図れます。また、DICOM StorageとDICOM MWMにも対応し、院内システムとの連携が図れます。
*構成によりオプションが別途必要な場合があります。
*Uniteaとは、一般的名称:汎用画像診断装置ワークステーション、
販売名:画像診断ワークステーション REGIUS Unitea、認証番号:第
225ABBZX00052000号の略称です。
*接続テストが必要な場合があります。
*連携可能な電子カルテについては弊社へお問い合わせください。

音声コントロール対応
*音声コントール用マイクロフォンはオプション品です。

オプション機能
エコーやタブレットで画像を共有
Image Share
超音波診断装置で取得した静止画や動画をPC上の共有フォルダに保存し、他の超音波診断装置(本機能に対応している SNiBLEシリーズ / SONIMAGEシリーズ)やタブレットから、専用PC内共有フォルダのデータを参照できます。Camera Linkとの併用により、カメラ画像や音声情報も共有できます。医師とコメディカルをつなぐ新しい情報共有ツールです。

*オプション機能
*専用のPC・タブレットはオプション品です。
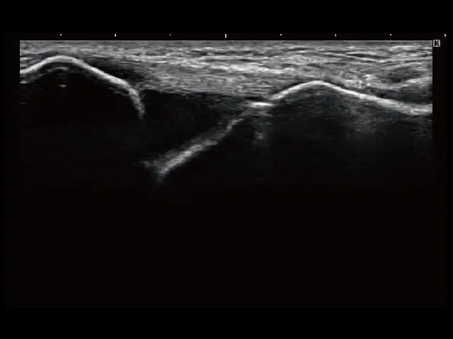
穿刺の精度向上をサポート
SNV(Simple Needle Visualization)機能
独自の画像解析処理技術により穿刺針の動きと推定される変化を認識し、Bモード画像上に穿刺針強調表示を行う機能です。また、SNVステア機能により、刺入方向に依存せず針の視認性を上げることができます。
対応プローブ:L18-4、L11-3、L14-4、HL18-4、MC10-3、WL13-3、C5-2
*オプション機能
*穿刺針強調処理は穿刺手技を行う為の補助機能です。ご使用の際は、
取扱説明書の注意事項・警告事項を必ずお読みの上ご使用ください。

仕様・スペック
プローブ仕様
| プローブ形状 | 名称 | 認証番号 |
|---|---|---|
![]() |
リニアプローブ L18-4 | 226ABBZX00052000 |
![]() |
リニアプローブ L11-3 | 228ABBZX00113000 |
![]() |
リニアプローブ L14-4 | 227ABBZX00067000 |
![]() |
リニアプローブ WL13-3 | 230ABBZX00121000 |
![]() |
リニアプローブ HL18-4 | 228ABBZX00111000 |
![]() |
コンベックスプローブ C5-2 | 226ABBZX00053000 |
![]() |
コンベックスプローブ MC10-3 | 228ABBZX00112000 |
![]() |
セクタプローブ S4-2 | 226ABBZX00138000 |
![]() |
セクタプローブ S4-2A | 301ABBZX00054000 |
本体仕様

| 一般的名称 | 汎用超音波画像診断装置 |
|---|---|
| 販売名 | 超音波診断装置 SONIMAGE HS2 |
| 認証番号 | 301ABBZX00053000 |
| クラス分類 | 管理医療機器(ClassⅡ) / 特定保守管理医療機器 |
| 走査方式 | リニア、コンベックス、セクタ |
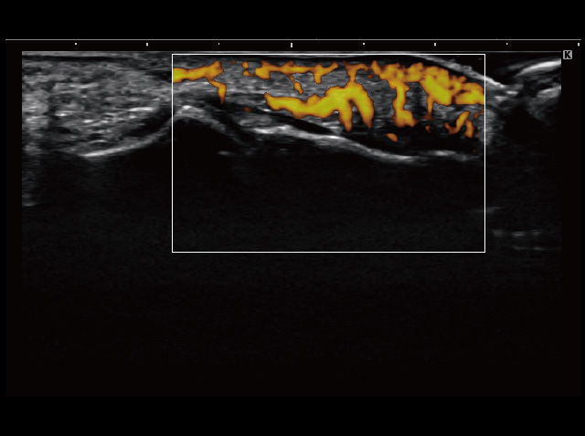
| モード | B、M、Color、Power、SCF、PW、CW*1、TDI、 ストレインエラストグラフィ*2 |
| モニター | 15インチ |
| サイズ | W 369mm × D 452mm × H 90mm(本体単体、LCDモニター折りたたみ時) |
| 電源 | AC100-240V、50 / 60Hz、最大180VA(本体単体) |
| 質量 | 約7.9 kg (本体単体、バッテリー含む) |
※改良のため、仕様および外観は予告なく変更する場合がございます。
※ご使用の際は添付文書および取扱説明書を必ずお読みください。
※KONICAMINOLTAロゴ、シンボルマークは、日本及びその他の国におけるコニカミノルタ株式会社の登録商標です。
※SONIMAGEは、日本及びその他の国におけるコニカミノルタ株式会社の登録商標または商標です。
※SNiBLE2は、販売名:超音波診断装置SONIMAGE HS2(認証番号:第301ABBZX00053000号)の呼称です。
※「T2HI」「Dual Sonic」「MPA」「Unitea」は、日本及びその他の国におけるコニカミノルタ株式会社の登録商標または商標です。
※*1、*2はオプションです。
イメージギャラリー
イメージ画像を表示する







































