超音波診断装置SONOVISTA LX
超音波診断装置SONOVISTA LX
認証番号:306ABBZX00014000
製品/機能
Imaging the Invisible & Intuitive Interface
コニカミノルタの画像処理技術がさらなる進化を遂げました。基本性能を強化することにより、日常検査から精密検査まで、診断に有用な情報を診療現場へこ提供します。
進化したDual Sonic® AdvanceとiXRET®、そして、高精細モニター搭載により、さらに高精細な臨床画像を実現しました。使い慣れたワークフローを継承しながらも、フルタッチモニター採用によるタッチ操作にも対応し、ユーザーの好みに合わせた操作性を実現しました。カスタマイズ性の高いモニタ画面や操作パネルスイッチにより、効率の良い検査環境を提供します。

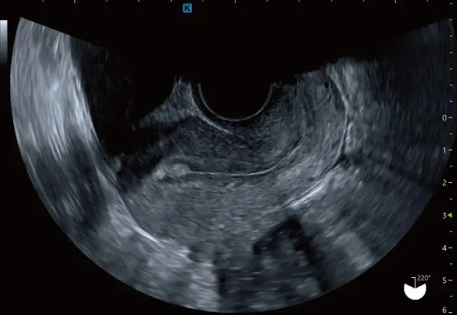
子宮内膜ポリープ

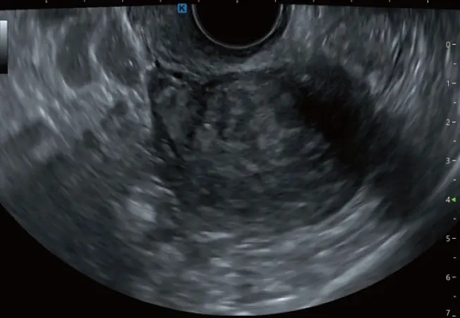
子宮筋腫

高い分解能とペネトレーションを両立
Dual Sonic® Advance
開口中央部では広帯域の送信波形を、辺縁部では深部に有効に働く低周波成分を含む送信波形をそれぞれ形成し、多領域で最適な超音波ビームを制御。これにより浅部領域での音響ノイズ混入の抑制と送受信効率の最大化を両立させ、浅部から深部までの均一性表現に優れた高精細で高分解能な画像を提供します。Dual Sonic® Advanceでは従来の2分割送信から多分割送信へと精密にビーム制御することで、より均一性が高く高精細な画像描出を可能としています。

さらなる高画質の実現
iXRET®
超解像技術を応用したコニカミノルタ独自の技術「iXRET」により、フレームレートを維持しながら、高分解能を実現します。Bモードおよび血流モードにおいて、空間分解能の向上が期待できます。

高フレームレートと高画質を両立した拡大表示
Clear Zoom
関心領域(ROI)内に音線を集め、高フレームレートで高画質を維持したまま拡大画像を表示します。
対応プローブ:EC9-3、C5-2

標準Zoom使用時

Clear Zoom使用時
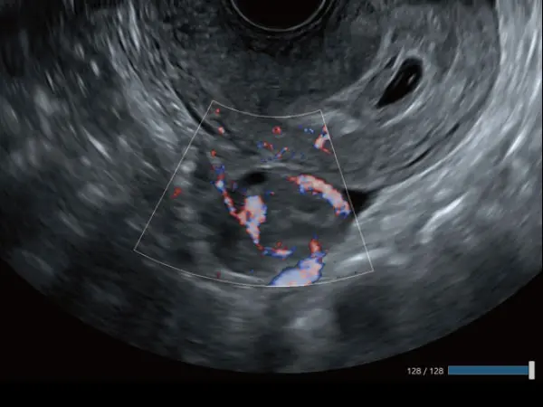
微細な血流を表示する
Simple Clear Flowモード
高分解能な血流表示モードで、細い血流を感度良く抽出することができます。従来よりもノイズを低減し、血流検出感度を向上させたことにより、診に必要な血流情報をより鮮明に抽出します。

子宮内血流

卵巣黄体血流
Design Philosophy For Women's Health
内診室用に特化したスマートな装置デザイン
様々な設置環境、検査体勢を考慮し、デザイン性だけではなく機能性も追求しました。

仕様・スペック
プローブ仕様
| プローブ形状 | 名称 | 認証番号 |
|---|---|---|
![]() |
体腔内プローブ EC9-3 | 228ABBZX00071000 |
![]() |
コンベックスプローブ C5-2 | 226ABBZX00053000 |
![]() |
リニアプローブ X20L | 306ABBZX00013000 |
![]() |
リニアプローブ L11-3 | 228ABBZX00113000 |
![]() |
リニアプローブ WL13-3 | 230ABBZX00121000 |
![]() |
リニアプローブ HL18-4 | 228ABBZX00111000 |
![]() |
コンベックスプローブ MC10-3 | 228ABBZX00112000 |
![]() |
セクタプローブ S4-2A | 301ABBZX00054000 |
本体仕様

| 一般的名称 | 汎用超音波画像診断装置 |
|---|---|
| 販売名 | 超音波診断装置 KUS330 |
| 認証番号 | 306ABBZX00014000 |
| クラス分類 | 管理医療機器(ClassⅡ) / 特定保守管理医療機器 |
| 走査方式 | B、M、カラードプラ、パワードプラ、SCF、PWドプラ、 CWドプラ*、TDI* |
| モニター | 18.5インチ |
| サイズ | W 457 mm × D 495 mm × H 1239~1489 mm |
| 電源 | AC 100 V-240 V、50/60 Hz、最大550 VA |
| 質量 | 約50kg |
※ご使用の際は添付文書および 取扱説明書を必ずお読みください。
※改良のため、仕様および外観は予告なく変更する場合がございます。
※KONICA MINOLTAロゴ、シンボルマークは、日本及びその他の国におけるコニカミノルタ株式会社の登録商標です。
※「SONOVISTA」「ソノビスタ」は、日本におけるコニカミノルタ株式会社の登録商標または商標です。
※「Dual Sonic」「T²HI」「iXRET」は、日本及びその他の国におけるコニカミノルタ株式会社の登録商標または商標です。
※「SONOVISTA LX」は、超音波診断装置KUS330の呼称です。
※*は、オプションとなります。



























