動態解析ワークステーション

動態解析ワークステーションKINOSIS
認証番号:230ABBZX00092000
画像診断ワークステーション コニカミノルタ DI-X1
X-ray in motion
単純X線撮影は、動態撮影の領域へ
製品の特長
デジタルX線動態®撮影システムは、動態解析ワークステーション「KINOSIS(キノシス)」、可搬型DR「AeroDR fine motion / AeroDR fine」、及び一般X線撮影装置或いは回診用X線撮影装置で構成され、パルスX線を連続照射し、コマ撮りした画像を連続表示することで、動態画像を作る、全く新しいシステムです。
従来の静止画のみならず、より多くの情報を提供することができる、全く新しい回診用Ⅹ線撮影装置
ポータブル撮影環境でのX線動態®撮影が可能*1
フレームレート:15fps
撮影時間:最大20秒
*1動態撮影を行う場合は、AeroDR fine motionが必要です
X線動態®撮影という、新たな価値を、新しい方法で。
“動き”の観察しやすさを追求
「動き」を見える化する
単純X線=静止画像で培った、視認性向上のための画像処理を、動態画像においても提供いたします。
肺野内の鎖骨と肋骨を減弱し、肺野内の視認性を向上することで、骨成分との重なりにより見えにくかったものの見える化が期待できます。
各構造物のエッジ部分を際立たせることで視認性を向上させ、動きの観察しやすさを追求します。
肺野内の血管影などを含む信号値パターンを追跡し、最大吸気位フレームを基準とした呼吸に伴う各領域の移動量をベクトル表示

肺野内の⾎管影などを含む信号値パターンを追跡し、呼吸に伴う各領域の移動量を計測することにより、動きの傾向をカラー表⽰
※オプション機能
「動き」を定量化する
横隔膜など、構造物の動きを数値化しグラフ表示さえることが可能です。動きを定量化することで、症状や機能評価に今までにはない新たな視点を導入します。

横隔膜の動きを追跡し、上下方向の移動量を定量化します。

呼吸に伴う気管径の変化を自動計測。最大径、最小径を表示する



指定した、点/線分/2線分の位置変化を計測する。解析した画像上に移動の軌跡を表示する計測結果をグラフに表示します。


指定した、矩形/任意領域の信号値変化を計測します。計測結果をグラフに表示します。
※オプション機能
横隔膜の動きを追跡し、上下方向の移動量を定量化します。
呼吸に伴う気管径の変化を自動計測。最大径、最小径を表示する
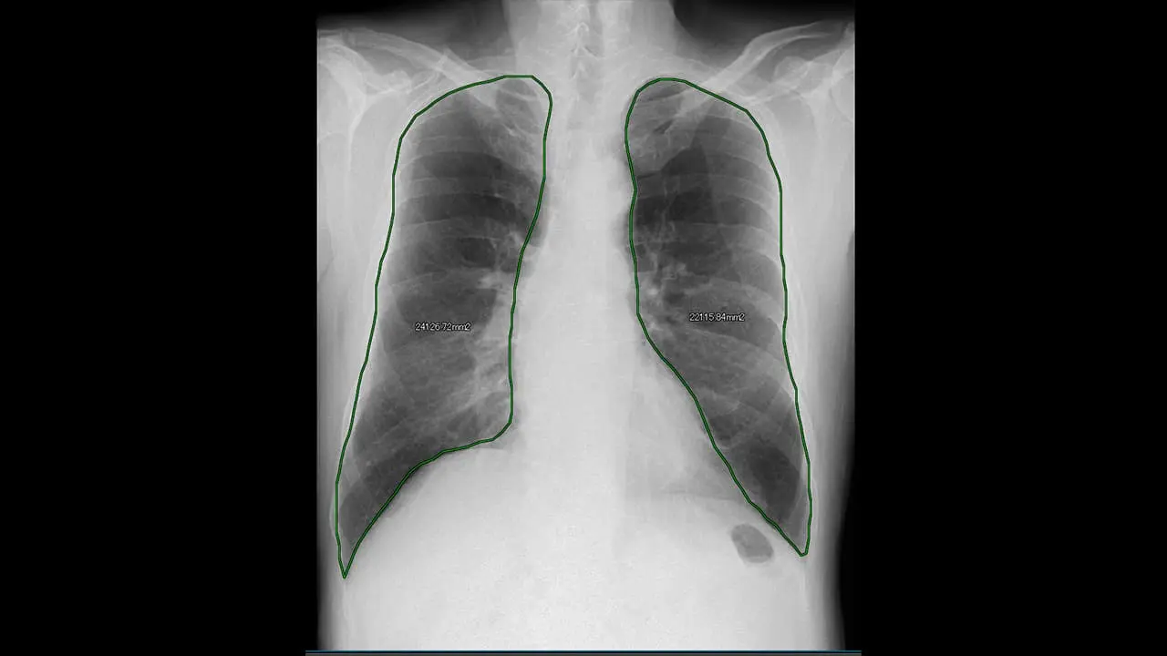
肺野面積経時変化グラフ
指定した、点/線分/2線分の位置変化を計測する。解析した画像上に移動の軌跡を表示する計測結果をグラフに表示します。
指定した、矩形/任意領域の信号値変化を計測します。計測結果をグラフに表示します。
肺組織の「動き」に伴う信号値変化を抽出
肺胞や肺血管など肺組織の挙動に伴う信号値変化を捉え、それをディスプレイ上に表示することで、生体のわずかな動きを表現します。これにより、CTやMRIなどの高度な診断装置を使用する前のスクリーニング段階における単純X線検査でも、一定の機能評価のための情報収集に寄与することが期待できます。
呼吸に伴う肺野内濃度変化を抽出し表示します。
血管の拍動に伴う肺野内濃度変化を抽出し表示します。
拡張期のフレームを基準フレームとし、各フレームから差分することにより、効率的に⼼拍波形と同期する信号を抽出

複数のフレーム画像から1枚のMIP画像を⽣成するサマライズ機能も搭載され、左右の肺野を上中下に3分割し6分画の信号値⽐を計算
※オプション機能
システム構成図


動態解析ワークステーションKINOSIS 関連製品
スペック
動態解析ワークステーション
KINOSIS
デジタルラジオグラフィー
AeroDR fine motion
画像診断ワークステーション
CS-7
| KINOSISサーバー | KINOSISクライアント | |
|---|---|---|
| CPU | Intel Xeon®プロセッサ E5-1650 v4以上 | Intel Core i7プロセッサ3.40GHz以上 |
| メモリ | 標準64GB以上 | 16GB以上 |
| オペレーティングシステム | Microsoft Windows10 IoT Enterprise 64bit | Microsoft Windows10 IoT Enterprise 64bit |
| SSDまたはHDD | SSD:512GB以上、およびHDD:4TB以上 | - |
| ストレージ | - | HDD:2TB以上 |
| PCIスロット | 空き2スロット以上(PCI-Express×16) | 空き2スロット以上(PCI-Express×16) |
| イーサーネット | GB Ethernet | GB Ethernet |
| USB | 4ポート以上 | 4ポート以上 |
| キーボード | フルサイズ・キーボード(USBまたはPS/2) | フルサイズ・キーボード(USBまたはPS/2) |
| マウス | 光学ホイール式マウス(USB) | 光学ホイール式マウス(USB) |
| モニター | 23インチTFTモニター他 解像度フルHD (1920×1080)以上 | 23インチTFTモニター他 解像度フルHD (1920×1080)以上 |
| AeroDR fine motion1417 (動画撮影時) | AeroDR fine motion1717 (動画撮影時) | |
|---|---|---|
| シンチレーター | Csl | Csl |
| パネルサイズ | 半切14"×17" | 半切17"×17" |
| 外形寸法 | 384(W)×460(D)×15(H)mm | 460(W)×460(D)×15(H)mm |
| 重量 | 2.6kg | 3.2kg |
| 画素サイズ(動画撮影時) | 400μm | 400μm |
| 使用可能なグリッド | 34本/cm、40本/cm | 34本/cm、40本/cm |
| DQE | 56%(1mR, 1cycle/mm)、72(1mR, 0cycle/mm) | 56%(1mR, 1cycle/mm)、72(1mR, 0cycle/mm) |
| 通信(動画撮影時) | 専用有線Ethernet接続 | 専用有線Ethernet接続 |
| モニター | 17インチ高視野角LCDマルチタッチモニター | |
|---|---|---|
| 画像処理 | 自動階調処理、周波数処理(F処理)、イコライゼーション処理(E処理)、ハイブリッド処理(HF処理・HE処理)、ハイブリッドスムージング処理(HS処理)、REALISM処理(RF処理、RE処理)、REALISMスムージング処理(RS処理)、グリッド目除去処理、照射野自動認識処理 | |
| 画像保管容量 | 80GB以上 | |
| 入出力ポート | Ethernet 10base-T/100base-TX/1000base-T、USB 6ポート以上 | |
| DICOMサポート | DICOM Storage SCU、DICOM Basic Grayscale Print Management SCU、DICOM Modality Worklist Management SCU、DICOM Modality Performed Procedure Step SCU | |
| 画像出力階調 | 12bit(4,096階調) | |
| 画像出力 | ホスト:最大4ch.、プリンター:最大2ch. | |
| 外形寸法/重量 | 360(W)×435(D)×175(H)mm / 12kg | |
| 定格電圧 | AC 100V-240V(単相 50/ 60Hz) | |
| 消費電力 | 109W 以下 | |
| 主な付属品 | 制御部電源ケーブル、操作部電源ケーブル、制御部~操作部接続ケーブル、キーボード×1/マウス×1 | |
| 主なオプション | 患者ID登録用磁気カードリーダー、バーコードリーダー、増設LANカード、サブモニターアダプター | |
※こちらに記載の内容、仕様および外観は性能向上のためお断りなく変更する場合があります。
※「動態解析ワークステーション KINOSIS」及び「KINOSIS」は「画像診断ワークステーション コニカミノルタ DI-X1」(製造販売認証番号:230ABBZX00092000)の呼称です。
※「AeroDR fine motion/fine」は「デジタルラジオグラフィー SKR 3000(製造販売認証番号228ABBZX00115000)」の呼称です。
※「CS-7」は「画像診断ワークステーション CS-7 (製造販売承認番号:22200BZX00834000)」の呼称です。
※「AeroDR TX m01」は「移動型汎用X線装置 AeroDR TX m01」(認証番号:303ABBZX00055000)の呼称です。
※KONICA MINOLTAロゴ、シンボルマークは、日本及びその他の国におけるコニカミノルタ株式会社の登録商標です。
※AeroDRは、日本及びその他の国におけるコニカミノルタ株式会社の登録商標または商標です。
※X線動態は、コニカミノルタ株式会社の登録商標です。












