超音波診断装置SONIMAGE UX1 TRiFOR
認証番号:306ABBZX00014000
特長・機能
高周波広帯域プローブ
X20L
新たな音響レンズ(Dual Slice Lens)を使用した高周波広帯域プローブと、その性能を最大限に活かすスライスビーム制御技術を独自開発しました。
従来の球面形状で単焦点だった音響レンズを、連続的に焦点が変化する非球面レンズとすることにより単列構成のプローブでありながらスライスビームの均一性向上を実現。浅部から深部まで音響ノイズ影響の少ない均一な画像の描出を可能にし、プローブ1本で幅広い検査に使用できます。また、過酸化水素ガスプラズマ滅菌器(STERRAD®)にも対応しており、感染リスクの低減が図れます。
※STERRADはASP Global Manufacturing GmbHの登録商標です。

高い分解能とペネトレーションを両立
T2HI® (Triad Tissue Harmonic Imaging)
独自開発の「高周波広帯域プローブ」と新規搭載の画像エンジンを組み合わせ、帯域内に入ってくる多くの差音/和音/高調波を送受信することに成功しました。この技術を用いることで、高分解能とペネトレーションを両立させ、高画質を実現します。

Dual Sonic® Advance
開口中央部では広帯域の送信波形を、辺縁部では深部に有効に働く低周波成分を含む送信波形をそれぞれ形成し、多領域で最適な超音波ビームを制御。これにより浅部領域での音響ノイズ混入の抑制と送受信効率の最大化を両立させ、浅部から深部までの均一性表現に優れた高精細で高分解能な画像を提供します。Dual Sonic® Advanceでは従来の2分割送信から多分割送信へと精密にビーム制御することで、より均一性が高く高精細な画像描出を可能としています。

神経を可視化するVisNerve®
ディープラーニングで事前学習した情報を基に超⾳波画像を解析し、リアルタイムに神経を可視化します。簡便かつ容易に神経を認識できるVisNerveは、処置時間の短縮をサポートします。
対応プローブ:X20L、L11-3
※オプション機能
※ご使⽤の際は、取扱説明書の注意事項・警告事項を必ずお読みの上ご使⽤ください。
※穿刺針を⽤いた治療や⿇酔の前に⾏うスキャン時の使⽤を想定しています。
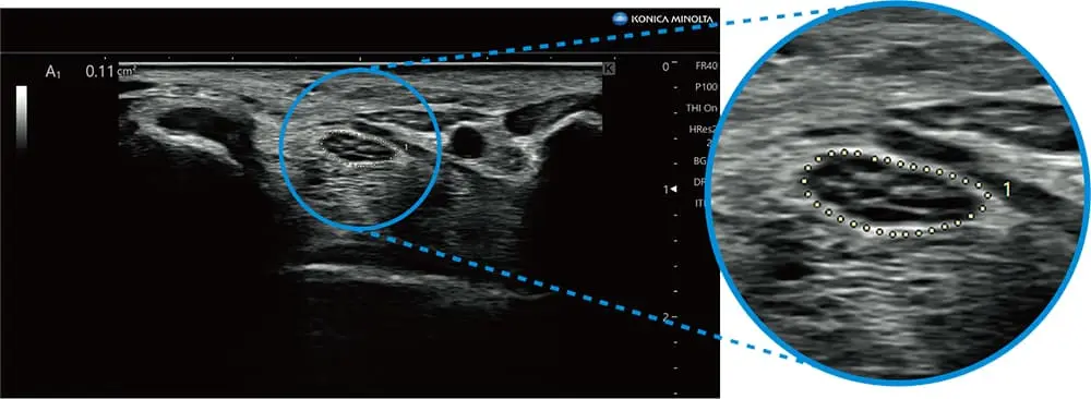
断⾯積(神経)セミオート機能
AIにより神経と同定された領域に対して、断⾯積を計測するためのトレース線を表⽰し、算出します。
対応プローブ:X20L、L11-3
※オプション機能
※ご使⽤の際は、取扱説明書の注意事項・警告事項を必ずお読みの上ご使⽤ください。
※AI技術を⽤いて設計し、市販後に⾃動的に本機能の性能や精度が変化することはありません。
リアルタイムに診療画像を共有
Mobile Cast
装置に表示される画像や音声を、ワイヤレス接続されたタブレットなどの情報端末に送信/表示できる機能です。タブレットなどを自由に配置できることにより、快適で自然な姿勢での検査を行うことができます。
※オプション機能

Mobile Cast / Mobile controlについて
※情報端末は、当社が指定する仕様のものに限ります。
※本装置と情報端末を同じネットワークに接続する必要があります。
ネットワークの設定、及び情報端末については、弊社サービス窓⼝にお問い合わせください。
※ご使⽤の差異は、取扱説明書の注意事項・警告事項を必ずお読みの上ご使⽤ください。
装置を手元で自在に操作
Mobile Control
情報端末のウェブブラウザに表示される装置操作コマンドボタンを使用し、装置を触ることなく、設定変更、画像保存、アプリケーション起動/終了などを遠隔操作できる機能です。医師の診察を妨げずに補助操作が可能となります。
※オプション機能

パワフルなパフォーマンス
大容量バッテリー
大容量バッテリーを搭載することで、約6時間連続使用できます。
※大容量バッテリーはオプションです。

超音波画像とカメラ画像を同時表示
Camera Link
カメラで撮影した映像を、診断中の超音波画像に重ねて表示します。表示した画像は、静止画と動画で記録でき、動画記録時は音声情報も保存できます。超音波画像と一緒に、検査状況がリアリティをもって記録されるため、検査部位や穿刺部位の特定、説明時に役立ちます。
※専用カメラ・その他付属品はオプションです。


簡単操作で画像を最適化
MPA®機能〈Multi Parameter Adjuster〉
表示深度を変更するだけで、あらかじめ設定した画質パラメーターが適用されます。例えば、表示深度を浅くすると高周波に、深くすると低周波や台形走査へ自動的に切り替わります。
穿刺の精度向上をサポート
SNV(Simple Needle Visualization)
独自の画像解析処理技術により穿刺針の動きと推定される変化を認識し、Bモード画像上に穿刺針を強調表示する機能です。また、SNVステア機能により、刺入方向に依存せず針の視認性を上げることができます。
対応プローブ:X20L、L11-3、HL18-4、MC10-3、C5-2
※穿刺針強調処理は穿刺手技を行う為の補助機能です。
ご使用の際は、取扱説明書の注意事項・警告事項を必ずお読みの上ご使用ください。

ワンタッチレイアウト変更
2画面表示〈上下/左右〉
浅部を多用する運動器診断をストレスなく行うため、上下2画面表示を搭載。左右表示が必要な場合もワンタッチ操作で切り替えが可能です。

より広い領域を一画面に
パノラミックビュー
プローブをスライドさせるだけの簡単操作により広範囲な画像を取得できます。解剖学的な位置関係の把握に役立ちます。
対応プローブ:X20L、L11-3

診療の正確性をサポートする
ライブラリ機能
外部メディアに記録した超音波画像や動画などを装置で再生。エコーを初めて導入する方でも、多くの動画コンテンツを参照しながら手技を学んでいくことができます。また、静止画/動画をマイライブラリに保存しておき、必要に応じて参照できます。
コンテンツの内容:
整形外科
1.手【3】 2.肘【5】
3.肩【5】 4.膝【3】
5.足【1】 6. Intervention
*コンテンツ(USBメモリ)はオプションです。

ユーザーの使用レイアウトに応じた柔軟なラインナップ

場所や用途を選ばない
「つながる」フレキシブルな設計
カードリーダー・バーコードリーダー対応のほか、電子カルテやUnitea®上の患者情報をワンクリックで連携できます。これにより、入力間違えの防止や診断の効率化が図れます。また、DICOM StorageとDICOM MWMにも対応し、院内システムとの連携が図れます。
※構成によりオプションが別途必要な場合があります。
※Uniteaとは、一般的名称:汎用画像診断装置ワークステーション、
販売名:画像診断ワークステーション REGIUS Unitea、認証番号:第225ABBZX00052000号の略称です。
※接続テストが必要な場合があります。

仕様・スペック
プローブ仕様
| プローブ形状 | 名称 | 認証番号 |
|---|---|---|
|
リニアプローブ X20L | 306ABBZX00013000 |
|
リニアプローブ L11-3 | 228ABBZX00113000 |
|
リニアプローブWL13-3 | 230ABBZX00121000 |
|
リニアプローブ HL18-4 | 228ABBZX00111000 |
|
コンベックスプローブ C5-2 | 226ABBZX00053000 |
|
コンベックスプローブ MC10-3 | 228ABBZX00112000 |
|
セクタプローブ S4-2A | 301ABBZX00054000 |
本体仕様
| 一般的名称 | 汎用超音波画像診断装置 |
|---|---|
| 販売名 | 超音波診断装置KUS330 |
| 認証番号 | 306ABBZX00014000 |
| クラス分類 | 管理医療機器(ClassⅡ) / 特定保守管理医療機器 |
| 走査方式 | B、M、カラードプラ、パワードプラ、SCF、PWドプラ、CWドプラ*1、TDI |
| モニター | 18.5インチ |
| サイズ | メインボックス W 227 mm × D 149 mm × H 476 mm(転倒防止部品を含まない) モニターユニット W 461 mm × D 79 mm × H 285 mm カート(コントロールパネルあり) W 461 mm × D 630 mm × H 1075 mm ~ 1375mm カート(コントロールパネルなし) W 461 mm × D 536 mm × H 1075 mm ~ 1375mm |
| 電源 | AC 100 V-240 V、50/60 Hz、最大550 VA |
| 質量 | メインボックス 9.8 kg(標準バッテリー2個搭載時、電源コードは除く) モニターユニット 5 kg カート構成 42 kg(メインボックス(標準バッテリー2個搭載時)、カート(コントロールパネルあり、電源コード含む)) |
| バッテリー 駆動時間 |
標準バッテリー(2個装着状態) 連続90分以上(Bモード、Live100%時、デスクトップ構成時/カート構成時)標準バッテリー2個+大容量バッテリー装着状態 連続360分以上(Bモード、Live100%時、カート構成時) |
※ご使用の際は添付文書および 取扱説明書を必ずお読みください。
※改良のため、仕様および外観は予告なく変更する場合がございます。
※KONICA MINOLTAロゴ、シンボルマークは、日本及びその他の国におけるコニカミノルタ株式会社の登録商標です。
※「SONIMAGE」、「T²HI」、「Dual Sonic」、「MPA」、「Vascular NAVI」、「VisNerve」は、日本及びその他の国におけるコニカミノルタ株式会社の登録商標または商標です。
※「SONIMAGE UX1 TRiFOR」は、超音波診断装置KUS330の呼称です。
※*1は、オプションとなります。



















