超音波診断装置SONIMAGE MX1
超音波診断装置SONIMAGE MX1
認証番号:230ABBZX00010000
製品の特長
プレミアムクラスに迫る画質を実現
高感度広帯域プローブ(L11-3)
高感度化と広帯域化を両立するため、プローブ先端部にある音響整合層には、高度なシミュレーション技術で導き出した多層整合層構造を開発・採用しました。

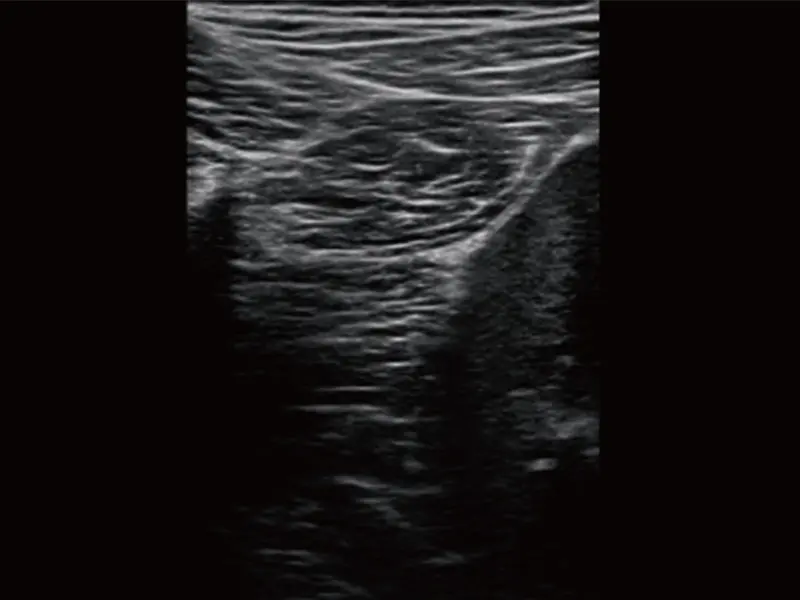
高い分解能と深度を両立
T2HI® (Triad Tissue Harmonic Imaging)
独自開発の広帯域高周波プローブと画像エンジンを組み合わせ、帯域内に入ってくる多くの差音/和音/高調波を送受信することに成功、高分解能と深度を両立させ高画質を実現しました。

高画質を実現する
Dual Sonic®技術
T2HI®とDual Sonic®技術を組み合わせることで、受信領域の超音波ビーム中心付近にのみ高品質なTHI信号を生成することに成功。超音波の音響ノイズを抑制することで、浅部の描出改善と深部の視認性を両立します。

簡単操作で画像を最適化
MPA® 機能 (Multi Parameter Adjuster)
表示深度を変更するだけで、あらかじめ深度毎に設定された画質設定に変更することができます。例えば、表示深度を浅くすると高周波に、深くすると低周波や台形走査へ自動的に切り替えることができ、ワークフローの効率化に貢献します。
より安心な手技をサポート
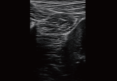
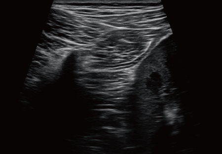
台形走査機能
表示範囲を拡げることでオリエンテーションをつけやすくします。刺入の早い段階で針が表示されるので、より安心して針を進められます。高画質を維持したまま、台形走査をすることが可能です。

台形走査OFF

台形走査ON
直感的なインターフェイス
5つのハードキーとタッチパネル
分かりやすい日本語表記で、直感的な操作を実現。

小さな画面を最大限に活用する
フルスクリーン表示
画像描出エリアを広くすることで構造物をより見やすくします。

オプション機能
パワフルなパフォーマンス
連続2時間使用可能
増設バッテリーパックを搭載することで、より安心して使用できます。
*写真のカートは、別売品です。

穿刺の精度向上をサポート
Simple Needle Visualization機能
独自の画像解析処理技術により穿刺針と推定される変化を認識し、
Bモード画像上に穿刺針強調表示を行う機能です。

仕様・スペック
プローブ仕様
| プローブ形状 | 名称 | 認証番号 |
|---|---|---|
![]() |
リニアプローブ L11-3 | 228ABBZX00113000 |
![]() |
リニアプローブ L14-4 | 227ABBZX00067000 |
![]() |
コンベックスプローブ C5-2 | 226ABBZX00053000 |
![]() |
コンベックスプローブ MC10-3 | 228ABBZX00112000 |
本体仕様
| 一般的名称 | 汎用超音波画像診断装置 |
|---|---|
| 販売名 | 超音波診断装置 SONIMAGE MX1 |
| 認証番号 | 230ABBZX00010000 |
| クラス分類 | 管理医療機器(ClassⅡ) / 特定保守管理医療機器 |
| 走査方式 | リニア、コンベックス |
| モード | B、Color、Power、SCF、PW |
| モニター | 12.1インチ |
| サイズ | W 320 mm × H 302 mm × D 64.5 mm (突起含まず、スタンド、ハンドルを閉じた状態) |
| 電源 | AC100-240V(ACアダプター使用時)、50/60Hz、最大150VA(本体単体) |
| 質量 | 約4.5kg(本体単体、バッテリー含む) |
| バッテリー駆動 | 標準構成 連続90分(Freeze時)、連続60分(稼働時) 増設バッテリー搭載時 連続180分(Freeze時)、連続120分(稼働時) ※ 新品の満充電状態のバッテリーの時 |
※改良のため、仕様および外観は予告なく変更する場合がございます。
※ご使用の際は添付文書および 取扱説明書を必ずお読みください。
※KONICA MINOLTAロゴ、シンボルマークは、日本及びその他の国におけるコニカミノルタ株式会社の登録商標です。
※SONIMAGEは、日本及びその他の国におけるコニカミノルタ株式会社の登録商標または商標です。























