超音波診断装置SONOVISTA GX30
超音波診断装置SONOVISTA GX30
認証番号:231ABBZX00001000
製品の特長

より鮮明により正確に 的確で効率的な診断をサポート
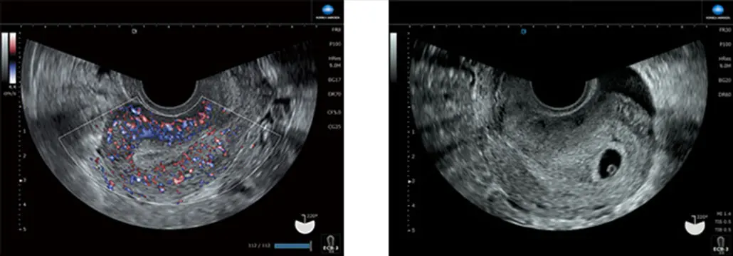
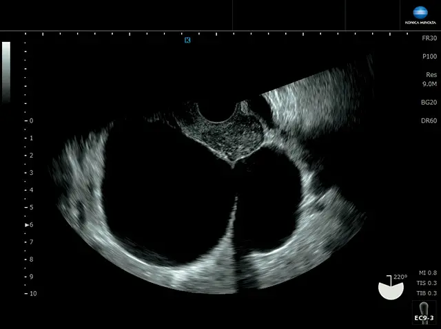
高分解能を実現するDual Sonic技術や、高分解能とフレームレートを両立する新技術「iXRET」により、鮮明で高画質なBモード画像と微細な血流画像を提供します。また、すべての対応する経腟プローブが220度の広角表示に対応、検査効率と痛みの少ない検査を提供します。

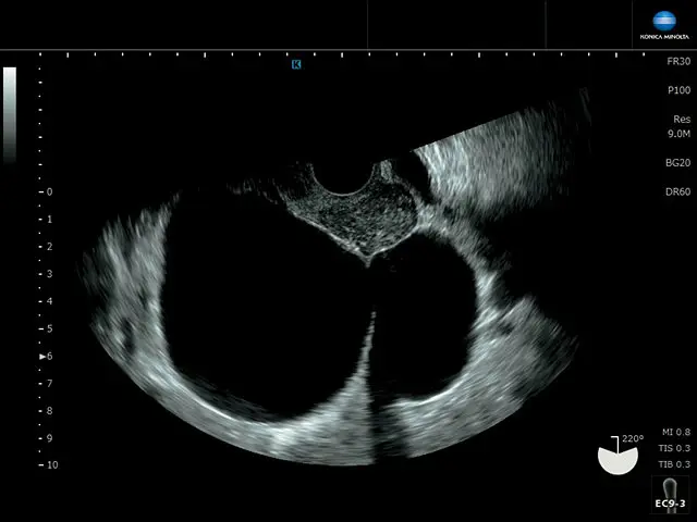
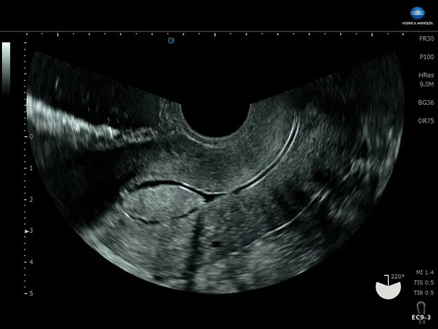
新たに追加されたClear Zoomにより、拡大時の画像も向上*しました。
ROI内に音線を集め、高フレームレートで高画質を維持したまま拡大画像を表示します。
*:標準ズーム使用時との比較

標準ズーム使用時

Clear Zoom使用時

快適な診療空間を演出する
コンパクトボディ
診察室の限られたスペースにおいて最適なレイアウトを実現するようさらなる省スペース化を実現しました。また、細部まで配慮した設計により安全・安心な検査環境をサポートします。


使いやすさを追求した
ユーザーインターフェース
使いやすさを追求したユーザーインターフェースにより効率的な検査が可能です。シーンごとのワークフローに合わせてカスタマイズできる操作パネルとタッチパネルとを組み合わせることで、より直感的な操作性を実現しました。

仕様・スペック
プローブ仕様
| プローブ形状 | 名称 | 認証番号 |
|---|---|---|
![]() |
体腔内プローブ EC9-3 | 228ABBZX00071000 |
![]() |
TVプローベA | 21600BZZ00210000 |
![]() |
コンベックスプローブ C5-2 | 226ABBZX00053000 |
![]() |
リニアプローブ L18-4 | 226ABBZX00052000 |
本体仕様
| 一般的名称 | 汎用超音波画像診断装置 |
|---|---|
| 販売名 | 超音波診断装置 SONOVISTA GX30 |
| 承認番号等 | 231ABBZX00001000 |
| 走査方式 | 機械セクタ走査、電子コンベックス走査、電子リニア走査 |
| モード | B、M、パルスドプラ、カラードプラ(速度/パワー/SCF) |
| モニター | 15インチ |
| サイズ | W 386 × D 535 × H 1218~1338 mm |
| 電源 | AC 100V - 240V 50/60Hz 最大4.8A |
| 質量 | 60kg |
※改良のため、仕様および外観は予告なく変更する場合がございます。
※ご使用の際は添付文書および取扱説明書を必ずお読みください。
※「SONOVISTA」「ソノビスタ」は、日本におけるコニカミノルタ株式会社の登録商標または商標です。
イメージギャラリー
イメージ画像を表示する





























