画像診断ソリューション
FINO.View.Pro
FINO.View.Pro
認証番号:301AIBZX00005000
より速く、より快適に "効率的" な読影環境。
医療従事者の生産性向上を強力にサポート。

製品の特長
FINO.View.Pro(フィノビュープロ)は、コニカミノルタ独自の技術「MSP方式※」により、画像表示やスタック速度の高速化を実現し、医療従事者の生産性向上を強力にサポート。読影の精度向上や効率化、患者のサービス向上にお役立ていただけます。
1. さまざまな運用に対応する多機能ビューワー
2. MSP方式※による高速化、わかりやすいデザインや操作により読影ストレスを軽減します。
3. 3D機能(ボリュームレンダリング、MIP/MPR)では快適な操作感で目的に合わせた機能を選択し容易に画像生成が可能です。(オプション)
4. コニカミノルタ独自の高度な処理技術により、Bone Suppression画像や胸部経時差分画像の作成が可能です。(オプション)
※MSP=Multi Structured Processing
機能
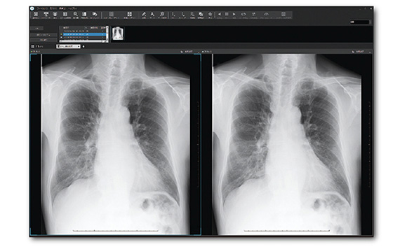
読影プロトコル機能(ハンギングプロトコル)
表示レイアウトをモダリティや検査部位毎に設定することが可能です。読影シーンに合わせたレイアウトを読影プロトコルに作成することで、検査展開後ワンクリックで効率的な読影を実現します。


機能アイコン・メニュー表示

視認性の高いアイコンデザインを採用。表示するアイコンや右クリックメニューのカスタマイズが可能です。また、右クリックメニューはパネルタイプや文字列メニュータイプを選択、切替ができ幅広いニーズに対応しております。

さまざまな運用に対応
2D、3D、動画等さまざまな画像の表示に対応。 PACSビューワーとしての基本機能に加え、高度な胸部単純X線撮影画像処理機能や3D機能、トモシンセシスに対応したマンモビューワー機能等、さまざまな運用に対応できる機能を取り揃えております。
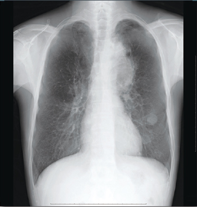
呼吸器科/検診
Bone Suppression処理画像や経時差分処理画像、CT検査を比較表示することで、肺がん症例などの早期発見や経過観察をサポートします。

外科系
CR/DRとCT検査の3D画像を同一画面に表示し、骨折などの外科系分野での迅速な診断やインフォームドコンセトをサポートします。

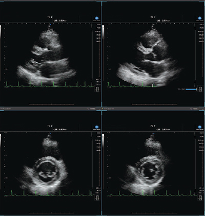
循環器科
胸部CR/DR、心エコー動画、心カテ動画、心電図などの検査を一つのビューワーで表示し、効率的な診察をサポートします。

乳腺外科
トモシンセシスやCAD表示に対応。専用コントローラーで直感的な操作をサポート。専用レポーティングシステムではマンモグラフィと乳腺超音波の併用検診にも対応します。

モダリティ・部位絞り込み表示
関連検査の表示から、特定のモダリティや検査部位を容易に絞り込めます。さらに関連検査上にマウスを移動するとリストが全表示されるのでスムーズな対象検査の選択が可能です。また、特定のモダリテイや部位の絞り込み、同一モダリティや部位の直近検査も瞬時に絞込めます。

未表示画像アラート表示機能
医療安全の観点から、未表示画像の有無をサムネイルに分かりやすく表示し、未表示画像の確認をサポートします。なお、画像表示後は、各画像の右上の赤丸「● 」が消え、スライス画像は全スライスを表示させると赤二重丸「⦿」が消えます。


3D機能
CTやMR検査画像から、3D機能でのボリュームレンダリング、MIP/MPRの画像処理表示がワンクリックで可能です。骨除去や階調処理等画像処理の基本機能を取り揃え、快適な操作感で診断、参照が可能です。2D画像と同一ビューワー上で操作でき、目的に合わせた機能を選択することで容易に3D画像の生成が可能です。
※オプション
3D画像
骨除去など、選択部分の除去がワンクリックで可能です。骨などの接合面を3次元的に確認できます。

骨除去画像
骨除去や階調処理機能を組み合わせ、骨除去画像の作成が可能です。

高度な画像処理技術
胸部経時差分画像やBone Suppression画像を生成することで、病変の見落としや誤検出を防ぎます。
※オプション
Temporal Subtraction処理(胸部経時差分処理)

頭の中でイメージしている、画像間の差を可視化します。現在と過去の差分画像を生成し「変化の有無」を可視化することで、診断精度の向上と時間短縮が期待でき、胸部読影を強力にサポートします。
Bone Suppression処理(胸部骨減弱処理)

頭の中でイメージしている、鎖骨/肋骨の減弱像を可視化します。鎖骨/肋骨の減弱画像を同画面で切替表示することで、視点を移動させることなく、病変の視認性を向上させ、読影を支援します。
※「FINO.View.Pro」は「フィノビータ ビュー(認証番号 301AIBZX00005000)」の呼称です。
※KONICA MINOLTAロゴ、シンボルマークは、日本及びその他の国におけるコニカミノルタ株式会社の登録商標です。















