「見落とし」をなくし
命を救いたいという思いから生まれた
画像処理技術です
胸部経時差分処理
Temporal Subtraction処理
注意:赤枠は実際には表示されません。
「見落とし」をなくし
命を救いたいという思いから生まれた
画像処理技術です
注意:赤枠は実際には表示されません。
Temporal Subtraction処理は、独自のアルゴリズム補正をもとに、胸部画像の現在と過去の差分画像を生成する画像処理技術です。
がん予防重点健康教育及び、がん検診実施のための指針では、胸部エックス線写真の読影方法として二重読影の結果必要と判断される場合は、比較読影を行うことが示されています。*
しかし、画像を細かな部分まで見比べるには時間がかかり、また、小さな変化は見逃してしまう可能性があります。
そこで、現在と過去の差分画像を生成し「変化の有無」を可視化することで、診断精度の向上と時間短縮が期待でき、胸部読影を強力にサポートします。
*出典:「がん予防重点健康教育及びがん検診実施のための指針 」(健発第0331058号平成20年3月31日厚生労働省健康局長通知別添)
(令和3年10月1日一部改正)


◆変化が可視化され、新規病変の認識がしやすくなる。
◆肺門部や心臓裏の見落としやすい部位の病変が見つけやすくなる。
◆過去画像と現在画像の比較により経時的変化が画像化され、経過観察が容易になる。
症例ごとにTemporal Subtraction処理を活用した読影の解説をご覧いただけます。
注意:赤枠は実際には表示されません。



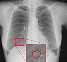
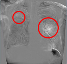
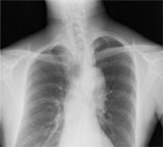
経時変化の差がドーナツ形状として現れることで、一見「変化なし」としがちな病変の大きさ変化が認識可能です。



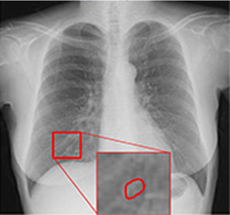
肺門部裏は見落としやすく重要な読影ポイントですが、経時差分画像により一目で変化が確認出来ます。



左肺尖部に濃度の上昇がありますが、通常画像では淡い変化の為、直ぐに気づきません。読影が難しい肺尖部の鎖骨裏などでも経時差分画像で即座に変化を確認できます。



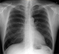
定期健康診断で検出された症例です。経時差分画像により、肺野外の病変異常に対しても変化を把握し易くなります。



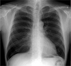
正常患者を正常と言い切るのは診療上勇気がいるため、異常画像より読影時間がかかるという報告があります。経時差分の導入により、確信度が上昇し、読影時間を短縮できます。
コニカミノルタのヘルスケアICTサービス「infomity」にご加入のお客様は、月額定額でご利用いただけます。
下記の製品でTemporal Subtraction処理がご利用いただけます。
ヘルスケア関連コンテンツ
コニカミノルタグループ製品