医用画像管理システム
NEOVISTA I-PACS VR/FS2
フィルムレス・ペーパレス運用を実現する
レポート一体型PACSシステム

製品の特長
スマートボディとパワフルボディの実力派PACSシステム。
フィルムレス・ペーパーレス時代にマッチした2機種のPACSシステムで新登場。
NEOVISTA I-PACSの新シリーズは、これまで培った技術・ノウハウを元に、現在までの製品コンセプトを継承しつつ、さらにPACSとしてブラッシュアップすることで、フィルムレス・ペーパーレス運用を実現するレポート一体型PACSとして生まれ変わりました。新シリーズのNEOVISTA I-PACSは、PACSとしての機能を損なうことなく、ダウンサイジング及びハードウェア・ソフトウェアのシステム再構成を実現し、ご使用いただく目的や運用形態により、様々なシステム構成にてご提案する事が可能です。PACSに搭載する機能として、『レポート機能』や『検像機能』『バックアップ・冗長化機能』など多彩なシステムコンポーネントを搭載し、フィルムレス時代のPACS運用を確実にサポートします。
また、業界標準『IHE-J』を準拠することで、病院内の電子カルテやオーダエントリーシステムからCR,CT,MRIなどの各種モダリティに至るまで、施設の導入システム形態や運用形態に合わせ、他のシステムともシームレスな連携を実現することも可能です。
さらに、画像とレポートを簡易Viewer(PDI-Viewer)とともにCDなどのメディアに出力することで、病診・病病連携などの地域連携にもお役に立てます。フィルムレス時代にマッチした新しいNEOVISTA I-PACS。コニカミノルタは、施設の運用にあわせ2つのサーバータイプでフィルムレス時代をデザインします。
製品コンセプト
コニカミノルタのNEOVISTA I-PACSは、4つのコンセプトを軸に以下を追求し、画像診断の生産性向上を図る新世代PACSをご提案・ご提供いたします。
- インフォームドコンセントの向上
- チーム医療の支援や質の高い医療支援
- 快適なワークフローによる業務の効率化
- IHE-Jサポートによるシステムの柔軟性
NEOVISTA I-PACS 4つのコンセプト
1. Productivity:生産性の向上
効率的な画像診断と所見作成を支援するために、NEOVISTA I-PACSではレポーティングシステムと関連画像情報とを密接に連携させ、画像や所見検索などの無駄な操作を最小限にすることで、読影業務の生産性が向上します。
2. Flexibility:柔軟性の確保
PACSの導入は、その使用目的や経営上の投資計画において過不足ない最適なシステムである必要があり、NEOVISTA I-PACSは高い拡張性と柔軟なシステム設計を許容するスケーラブルなPACSシステムです。
3. Comfortably:快適性の追求
画像診断を行う上で様々な医療情報を参照出来る環境が求められており、NEOVISTA I-PACSは関連する医療情報へのアクセスを容易にするために、RISはもちろんのこと電子カルテやオーダエントリーシステムなど、他部門のシステムとの連携を実現します。
4. Reliability:高信頼性の実現
診療活動の中断・停止は、病院経営や患者の生命にも関わる重大な問題であり、NEOVISTA I-PACSは最新のIT技術を駆使したシステムとして高い信頼性を確保するだけではなく、開発元であるコニカミノルタグループの強力なサポート体制により、安心してお使いいただけるPACSシステムです。
製品ラインアップ
NEOVISTA I-PACS VR
VRはVARIESTで、価値(VALUE)多様性(VARIETY)情報(INFORMATION)電子的(ELECTRONIC)場所(STATION)の造語であり、医療現場の可能性を秘めた優れたシステムという意味で名付けております。
NEOVISTAI-PACS FS2
FS2はFLESYSで、柔軟な(FLEXIBLE)貴重な(PRECIOUS)システム(SYSTEM)の造語であり、フレキシブルで重要な情報を確実に管理するシステムという意味で名付けております。
機能
レポーティングシステム統合によるスムーズな画像診断と、
画像配信・フィルムプリントのための「検像機能」を標準搭載。
画像とレポートを統合管理
画像表示用のViewerシステムとレポーティングシステムを統合し、画像とレポートデータを同一のデータベース上で管理することより、画像診断時に必要な情報を簡単に呼び出すことが出来ます。読影対象の画像やレポートはもちろんのこと、読影対象患者の関連検査画像や過去レポートの情報も、画像・レポート共通のリスト上で瞬時に確認が出来、過去の画像やレポートを自動的に表示する設定も可能です。
画像・レポートを統合データベースにて管理
画像とレポートデータを同一のリレーショナルデータベースで統合管理することで、画像とレポートをシームレスに連携し、迅速な情報抽出・画面表示が可能です。
検査リストのオートフィルタ機能
画像に附帯している検査日・依頼科・モダリティなどの情報や、電子カルテなどとの連携(IHE-J,HL-7など)によるオーダ情報により、読影目的に合わせたリストを自動的に抽出し、検査を絞り込んだリストを複数設定することが可能であり、煩雑な検索操作が不要です。
画像配信・フィルムプリント用の検像機能を搭載
画像の並び順や濃度・階調などの変更に加え、シリーズの分離・結合や画像の出力・未出力を確認・決定した後、他のPACSやImagerなどに出力する『検像機能』を標準搭載。画像参照に必要な画像のみを選択して配信・フィルム出力することで、煩わしい画像検索や画像送り操作を低減し、目的の画像をいち早く表示・確認することが可能です。

便利なドラッグ&ドロップ機能
レポート作成時にキー画像として添付された画像について、レポート添付キー画像を読影画面上にマウスにてドラッグ&ドロップする簡単な操作で、スライス位置・拡大率・階調処理・アノテーションなどレポートを作成した読影時の状態にて、全シリーズ画像を表示・操作する事が可能です。

画面レイアウトカスタマイズ機能を搭載
PACSにLoginしたユーザー毎に画面レイアウトのカスタマイズ設定が可能です。 ご使用いただく先生・医療スタッフの方が、個別に自分専用の画面レイアウト・Viewer環境を設定することが出来、接続されているモニタなどの端末構成が同一であれば、どの端末からアクセスしても常に自分専用の画面レイアウトにてご使用いただけます。
※同一端末でも異なるユーザーアカウントでログインすることで、ご使用になる先生方独自の画面レイアウトが表示されます。
I-PACS CS(オプション)を使用し、患者ごとの各検査結果を時系列で表示することが可能です。I-PACSシリーズの他、各ビューアーとの連携も可能です。
画面カスタマイズ例
画面レイアウトのカスタマイズと、多彩なViewer機能を搭載。
使いやすくスピーディーな画像診断環境をご提供します。
関連検査一覧表示
読影対象検査の過去や他モダリティの検査を自動的にリスト化し、関連検査を検索する手間を省きます。
シリーズ一覧表示
同一検査の各シリーズのサムネイル画像と関連情報をリスト表示します。

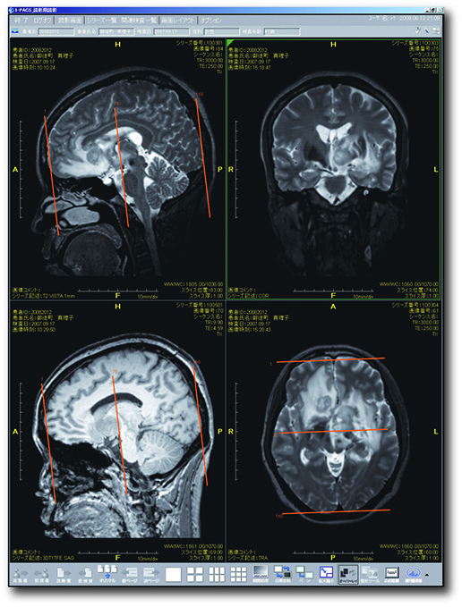
リファレンスライン表示
各スライス画像の位置を表示するリファレンスラインを、CTはスカウト画像に、MRIはアクティブフレーム以外(クロスリファレンス)に表示することが可能です。

MPR・MIP表示
CTのアキシャル画像より、サジタル及びコロナル画像を生成するMPR機能を搭載しており、画素の最大値を画像化するMIP画像も表示されます。

FOV同期機能
異なる拡大率の画像を自動的に揃え、撮影時のスライス厚が異なる画像を近似スライスにて同期して表示する、FOV同期機能を搭載しています。

アノテーション機能
画像に図形やテキストなどを描画として注釈をつけることや、距離・角度・面積の計測・演算に加え、心胸郭比計測も可能です。

シネ表示
読影画面に表示されている検査(シリーズ)を、別画面にて一定間隔で動画のように表示することが出来ます。再生速度の変更や巻き戻し・ループ再生も可能です。

拡大率補正機能
CR撮影時に鉛尺などを一緒に撮影して頂くことにより、画像の拡大率を補正してPACS上で実距離計測が出来る、拡大率補正機能を搭載しています。

イメージャ出力
読影画面と同一のフォーマットにて自動的にフィルム出力設定がされます。また、目的に応じて印刷フォーマットの変更やフィルムサイズ・向きなどの変更も可能です。

地域連携用画像・レポートデータの出力
地域連携(病診・病病連携)のために、画像とレポートデータをIHE-JのPDI準拠にて出力することが可能です。また、画像表示用のViewerもデータと一緒に出力されるため、DICOM Viewerをお持ちでない施設へ患者を紹介される場合でも、Windows OS(Windows2000以降)が搭載されているパソコンがあれば、DICOM画像を表示・操作することが出来ます。
更に、弊社PDI-Viewer上では複数の検査画像を『タブ形式』にて切り替えて表示する事が出来、各検査のタブをViewer外のエリアにドラッグ&ドロップすることで、同時に複数の検査画像を比較表示することも可能です。
また、読影レポートについては、HTMLファイル形式及びPDFファイル形式にて出力が可能で、弊社PDI-Viewer上では画像データと連携しての表示や、画像と同様に同時に複数のレポートを比較表示が出来ます。

仕様
用途で選べる豊富なモニタバリエーションをご用意。
24時間365日のコールセンターによるアフターサポートも万全です。
主な機能
| 検索 | タブ振り分け/絞込 フローティング 症例検査保存 |
|---|---|
| 操作 | 次・前画像/次・前ページ/次・前シリーズ/次・前検査/次・前患者 ショートカットキー/マウスイベント割当て |
| 表示 | スタック表示/タイル表示/横タイル表示 マルチフォーマット表示 シネ表示 オーバーレイ/キー画像表示 関連検査表示 |
| 画像処理 | 虫眼鏡/拡大/縮小/パン 反転/回転 階調プリセット/GSPS/濃度変更/白黒反転 1:1表示/枠表示/実寸 MIP/MPR |
| アノテーション / 計測 | 直線/矢印/矩形/楕円/テキスト/2点距離/3点角度/3点距離/ Cobb角/矩形面積/楕円面積/多角形面積/矩形CT値/心胸郭比 ※ 拡大率補正機能搭載 |
| ワークフロー | 画面分割/レイアウト変更 |
| レポート管理 | テンプレート入力、シェーマ/画像添付、状態管理/権限管理 関連レポート表示、PDF作成 |
| DICOM | VERIFICATION/STORAGE/PRINT/STORAGE COMMITMENT/ MWM/MPPS/QUERY RETRIEVE/GSPS |
| データ管理 | DBバックアップ 情報修正 ユーザー権限 システム監視/エラー監視 |
| リモートメンテナンス | 機器情報/エラー情報/ステータス情報/保全情報/ログ情報 |
| その他 | データ領域のマルチパス 紙プリント |
| オプション | 3Dソフトウェア マンモ画像診断用ソフトウェア 整形外科用ソフトウェア 音声認識ソフトウェア など |
読影専用端末「NEOVISTA PACS CL」
NEOVISTA I-PACS用の薬事取得端末をご提案できます。モニタ構成も自由に選択が可能です。
承認番号:21700BZZ00407000
モニタ例
| モノクロ/カラー | 解像度 |
|---|---|
| 19インチカラー | 1280×1024 |
| 5メガモノクロ | 2560×2048 |
| 3メガモノクロ | 2048×1536 |
| 3メガカラー | 2048×1536 |
| 2メガモノクロ | 1600×1200 |
| 2メガカラー | 1600×1200 |
※ハードウェア製品につきましては性能向上の為、お断り無く変更する場合がございます。
弊社PACS販売・保守体制
SE(システムエンジニア)を全国支店に配置することで、より良いシステム提案やご導入時の技術的サポート、
ご導入・ご運用後の保守・監理が出来る体制を整えました。
さらに、安心してご使用頂くために『お客様コールセンター』を設置。
ルーチンでの取り扱いや設定方法などのお問い合わせには、電話やネットワークを通して対応いたします。
コニカミノルタは、万全のサポート・サービス体制で、システムの稼働品質を確保いたします。
※KONICA MINOLTAロゴ、シンボルマークは、日本及びその他の国におけるコニカミノルタ株式会社の登録商標です。
※NEOVISTA、NEOVISTA I-PACSは、日本及びその他の国におけるコニカミノルタ株式会社の登録商標または商標です。















