Mobile X-Ray System
Mobile X-Ray System
認証番号:303ABBZX00055000
一般販売名称:移動型汎用X線装置 AeroDR TX m01







ポータブル撮影の可能性を広げる
ワイヤレスX線動態®撮影を実現
製品の特長
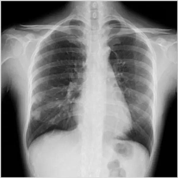
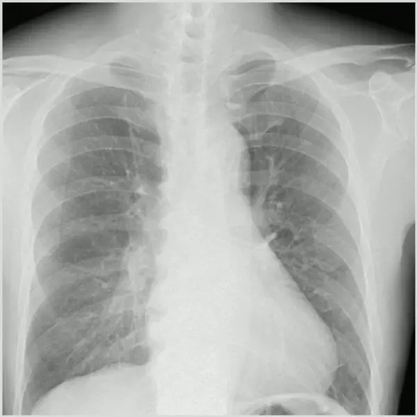
従来の静止画のみならず、より多くの情報を提供することができる、全く新しい回診用Ⅹ線撮影装置
ポータブル撮影環境でのX線動態®撮影が可能*1
フレームレート:15fps
撮影時間:最大20秒
*1動態撮影を行う場合は、AeroDR fine motionが必要です
回診車の可能性を広げるワイヤレスX線動態®撮影を実現
パルスⅩ線を連続照射し、コマ撮りした画像を連続表示することで、肺や横隔膜などの構造物の動きを可視化する動態撮影を回診車で実現。患者を移動させることなく、ICUなどベッドサイドでの撮影において従来の静止画に加えてより多くの情報を提供します。
X線動態®撮影という新たな価値と高いユーザビリティ
X線管操作部のセカンドモニタによりユーサビリティ向上
X線管操作部に配置されたタッチパネルタイプのセカンドモニター上で撮影条件の確認や変更が可能なため、効率的なワークフローを実現します。X線管~被写体間の距離を自動計測して表示することも可能です。

パネル充電機能を備えたキャビネット
本体前方と後方に合計3枚のパネルを収納できるキャビネットを配置、装填するだけでパネルの自動給電が可能です。パーキングポジション時にはアーム部が盗難防止のためのロック機構の役目を果たします (1417/1717/1012サイズ)、また、カセッテカバーを使用する際にパネルを立てかけられる便利なスリットも準備しています。

ポジショニングを支援するアライメントサポート機能
X線管とパネル※1それぞれのロール角とピッチ角を表示し、アライメントの調整をサポートします。動画撮影時には、X線管とパネルのピッチ角が一致すると色付き※2で表示され、直感的にアライメントの状態が確認できます。
※1AeroDR fine motion、AeroDR swift対応
※2X線動態®撮影時

撮影業務を支援する快適な操作性
幅540mmのコンパクト設計
コンパクトサイズでICU、病棟、手術室など、場所を選ばず、移動も容易です。

タッチ式の走行ハンドル
ハンドルにタッチするだけで、ロックが解除されるため、簡単に走行できます。パーキングポジションでない場合や、バックする場合には、自動で速度制限がかかり、より安心・安全にお使いいただけます。また、ハンドルの高さも変更可能です。

大型19インチモニタを採用
大型19インチタッチモニタを採用により、撮影後の画像も見やすく、画像タッチ操作も容易です。また、一目で分かるバッテリー残量表示とテンキーによるエントリーシステムを採用しています。

4段階のテレスコピックアーム(伸縮式アーム)
ハンドグリップに触れることで電磁ブレーキが解除され、支柱やアームの動作が可能。アーム伸縮は最大1,220mm、支柱の回転も317°で広範囲の撮影領域をカバーします。

管球は電磁ロックでの制御
管球操作においても電磁ロックを採用し、一般撮影室のような操作感を実現。スムーズな管球操作を可能とします。

細かいポジショニング動作を支援
ハンドグリップ上部のモーションコントロールスイッチにて各ホイールを独立して動かす事が可能、細かいポジショニング動作を支援します。

衝突防止センサーを搭載可能
衝突防止センサーを搭載可能、より安全な操作をサポート。

オプション機能
散乱線補正処理「インテリジェントグリッド」
グリッドを使用せずとも画像処理によって、散乱線の影響を取り除き画像コントラストを改善、アライメントの調整やグリッド脱着の手間を軽減します。照射後の撮影条件実績を利用することにより、シームレスな画像調整が可能です。
※動態撮影にも対応(別途ライセンス)

カテ先・ガーゼ強調処理
残存物確認や、カテーテルや挿管チューブのルート確認等のための専用画像処理を搭載しています。異物の確認をしやすくし、即時画像確認のメリットを最大限活かすことが出来ます。

システム構成図

スペック
| X発生装置 | 最大出力:32kW 管電圧:40~150kVp mAs:0.1~500mAs(静止画撮影時) |
|---|---|
| X線管 | 陽極熱容量:300kHU 焦点サイズ:0.7/1.3mm ターゲット確度:16° |
| オプション | 衝突防止近接センサー 充電式赤外線リモコン X線管~被写体距離計測表示 バックアップケーブル(静止画パネル通信) バーコードリーダー |
| 対応パネル | AeroDR PREMIUM 1417HQ / PREMIUM 1417S / PREMIUM 1417S2(静止画) AeroDR fine 1417HD / 1717HD / 1012HQ(静止画) AeroDR fine motion 1417HD / 1717HD(静止画 / 動画) AeroDR swift 1417HL / swift 1717HL / swift 1417SL(静止画) |
| 外形寸法 | W 540 × D 1220~2520 × H 1290~2230mm |
| 重量 | 520kg |
※こちらに記載の内容、仕様および外観は性能向上のためお断りなく変更する場合があります。
※「AeroDR TX m01」は「移動型汎用X線装置 AeroDR TX m01」(認証番号:303ABBZX00055000)の呼称です。
※「動態解析ワークステーション KINOSIS」及び「KINOSIS」は「画像診断ワークステーション コニカミノルタ DI-X1」(製造販売認証番号:230ABBZX00092000)の呼称です。
※「AeroDR fine motion」は「デジタルラジオグラフィー SKR 3000(製造販売認証番号228ABBZX00115000)」の呼称です。
※KONICA MINOLTAロゴ、シンボルマークは、日本及びその他の国におけるコニカミノルタ株式会社の登録商標です。
※AeroDRは、日本及びその他の国におけるコニカミノルタ株式会社の登録商標または商標です。
※「AeroDR swift」は「デジタルラジオグラフィー SKR 3000(製造販売認証番号228ABBZX00115000)」の呼称です。
※X線動態は、コニカミノルタ株式会社の登録商標です。








