Wireless Digital Radiography System
AeroDR swift
認証番号:228ABBZX00115000
「軽さ」のその先へ、ワークフロー新時代
軽量化・把持性・高画質で、カセッテ撮影に変革を。
軽量設計のフラッグシップモデル
AeroDR swift 1417HL |
AeroDR swift 1717HL |
製品の特長
バッテリー込み重量1.9kg*1の超軽量設計、迅速なワークフローを実現。
- 自社CRを超えるバッテリー込み重量1.9kgの軽量設計
- 全周深さ4mmのくぼみを配置。持ちやすさの向上
- DQE 59%の高画質タイプ(CsIモデル)
*1AeroDR 1417HLの重量です。
AeroDRシリーズ最軽量*2を実現
バッテリー含む重量で、半切1.9kg、フルサイズ2.3kgの軽量化を達成しました。半切サイズでは同サイズのCRカセッテ重量2.0kg以下、フルサイズでは従来の半切サイズのDR 重量の2.6kg以下を実現。モバイルなどでのカセッテ撮影で、撮影者の作業負担を大幅に軽減することができます。特に画角の広いフルサイズのカセッテを片手で楽にハンドリングすることが可能な為、回診撮影のワークフローの改善が見込めます。

*2:2022年9月1日現在、当社カセッテDRとして最軽量
くぼみ設計による持ちやすさの向上
どの方向からも指が掛けやすく、またカセッテカバー越しにも掴みやすいデザインです。Ⅹ線検査におけるさまざまなシチュエーションで、持ちやすいパネルは技師の作業をサポートします。使用後の疲労感やパネルを落としてしまう不安感など、ストレスを軽減させることができます。


日常の消毒に耐える筐体
AeroDR swiftは1%濃度の次亜塩素酸ナトリウム溶液に対応。日本診療放射線技師会感染症対策ガイドライン(Version 1.1)に準拠しています。患者の血液や尿によって汚れたパネルを1%濃度の次亜塩素酸ナトリウム溶液の消毒液で清拭した場合でも、変色や筐体の傷つきを気にせず、安心してご利用いただけます。

安心の高耐久抗菌設計*3
AeroDR swiftは、外装材料にAg(銀)を含む抗菌剤を練り込むことで、経時劣化しない恒久的な抗菌性能を実現しています。また院内感染の原因菌にも効果のある抗菌性能を保持しているため安心してお使い頂けます。この抗菌性能は撮影台との摩擦や高濃度の消毒液による清拭によって失われることはありません。

*3:抗菌効果は全ての菌に有効ということではありません。
また、抗菌は感染を完全に妨げるわけではありません。
高解像度 100/200μm画素サイズ
AeroDR swiftは画素サイズ100μmを実現。ビニング処理により、100μm/200μmを撮影プロトコルに応じて使い分ける事ができます。


高DQE59% (1mR,1cycle/mm)*4
AeroDR swiftは高解像度を実現するとともに、DQE59%(1mR,1cycle/mm)を達成。 シンチレータの改良や電気ノイズの低減などの技術に加え、TFT基板のガラスフリー化に伴うX線入射側の内部の構造の薄膜化により、シンチレータに到達するX線量のロスを低減。これにより高いDQEを達成しています。


*4:DQEの数値はTypical値です。
*5:本保証は、製品本体の生産終了から7年を経過した場合には予告なく終了することが有ります。
画像処理
画像処理エンジン「REALISM」×AeroDR swift
コンセプト
- 高解像度空間への拡張
- 立体表現の世界への拡張
- 解像力を最大限に活かす高鮮鋭化の実現
- 画像全体の描出とコントラスト維持の両立の実現
- 粒状悪化を抑える、高性能の粒状性改善の実現
- 画像のヒストグラム解析結果に合わせて処理強度を調整する個別最適化の実現
解像度を最大限に活かす高鮮鋭化
100μmを最大限に活かし、周波数強調処理の改良により、高周波領域を忠実に描出可能に。高解像ならではの微細構造の表現を実現します。


画像全体の描出とコントラスト維持の両立
改良されたダイナミックレンジ圧縮の処理と、新規のLUT(階調カーブ)により、低線量域から高線量域まで各構造物を立体的に表現し、白トビ・黒ツブレを起こすことなく画像全体を自然なままに描出することで立体感のある画像を提供します。

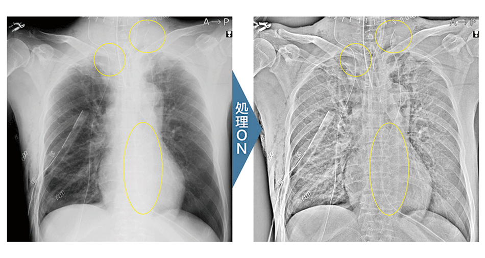
散乱線補正処理「インテリジェントグリッド」
散乱線補正処理「インテリジェントグリッド(IG)」の利用により、使用シーンはさらに拡大。グリッドを使用しにくいポータブル撮影などに加え、撮影室内で一般的にグリッドが必要とされる全部位に対応し高品質な画像を提供します。一般撮影装置との撮影条件連携により、シームレスな画像調整が可能です。

<対象部位>
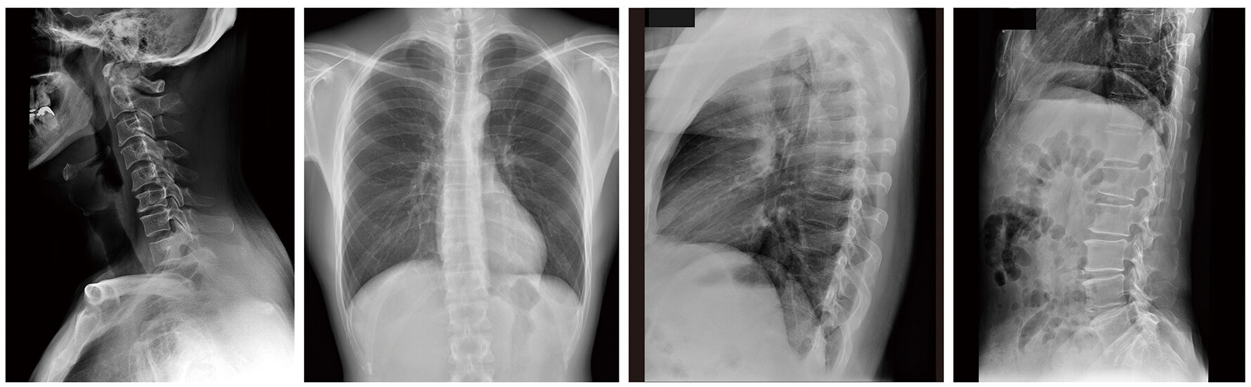
・頭部(頭蓋骨、トルコ鞍、頬骨、副鼻腔、眼窩、顎関節、聴器、耳下腺、顎下など)・頸部(頸部、咽頭、甲状腺)・頸椎(正面、側面、斜位)・鎖骨(正面、側面)・肩関節(正面、側面、斜位)・胸鎖関節(側面)・胸部(正面、側面、斜位)・胸椎(正面、側面)・腰椎(正面、側面、斜位)・腹部(正面、側面)・骨盤(正面、斜位)・両股関節/股関節・大腿骨/右大腿骨/左大腿骨・膝関節(正面、側面、軸位)・小児胸部(正面、斜位)・胸骨(側面、斜位)・肋骨(正面、斜位、接線)・乳幼児胸腹・乳幼児股関節
※CS-7のバージョンにより対象部位が異なります。
医療の質の向上を目指して
カテ先・ガーゼ強調処理
ポータブル撮影における残存物確認や、カテーテルの先端位置、ルート確認をしやすくするための 専用画像処理を搭載しています。 適用対象部位を拡大したことにより、ガラス片の確認や、胆道造影、 椎体の穿刺画像など多様なシーンでその効果が期待できます。

<対象部位>
・頭部(正面、側面、タウン)・聴器・頸部(正面、側面、斜位)・頸椎(正面、側面、斜位)・胸部(正面、側面)・胸椎(正面、側面)・腰椎(正面、側面、斜位)・腹部(正面、側面)・膀胱造影・手指骨・足根骨・足趾・足指骨・小児胸部(正面、側面)・乳幼児(胸腹部)・新生児(胸腹部)
※CS-7のバージョンにより対象部位が異なります。
仕様・スペック
システム構成例
| 基本撮影 | ポータブルソリューション |
|---|---|
|
|
オプション
| パワーサプライユニット | ディテクターインターフェースユニット | マルチサイズクレードル |
|---|---|---|
![]() |
![]() |
![]() |
関連製品
| 画像診断ワークステーション CS-7 |
|---|
|
【「AeroDR swift」の主な仕様】
| swift 1417HL | swift 1717HL | |
|---|---|---|
| 販売名、型式 | デジタルラジオグラフィー SKR 3000 P-85 | デジタルラジオグラフィー SKR 3000 P-95 |
| 製品名 | AeroDR swift 1417HL | AeroDR swift 1717HL |
| シンチレータ―(蛍光体) | Csl (ヨウ化セシウム) | |
| 外形寸法 | 384(W) x 460(D) x 15(H) mm | 460(W) x 460(D) x 15(H) mm |
| 重量 | 1.9kg | 2.3kg |
| 画素サイズ | 100/200μm | |
| 耐荷重 | 面荷重:400kg@有効画像領域全面 | |
| 2辺支持荷重:130kg | ||
| 防塵・防水性能 | IP56 | |
| バッテリー種類(形態) | リチウムイオンキャパシタ(内蔵式) | |
※仕様は性能向上の為お断りなく変更することがあります。
※ハードウェア製品につきましては性能向上の為、お断りなく変更する場合がございます。
※「AeroDR swift」は「デジタルラジオグラフィー SKR 3000(製造販売認証番号228ABBZX00115000)」の呼称です。
※AeroDRは「デジタルラジオグラフィーAeroDR SYSTEM」(製造販売認証番号225ABBZX00011000)の呼称です。
※「CS-7」及び「CS-7 Portable」は「画像診断ワークステーション CS-7」(製造販売承認番号22200BZX00834000」の呼称です。
※KONICA MINOLTAロゴ、シンボルマークは、日本及びその他の国におけるコニカミノルタ株式会社の登録商標です。
※AeroDRは、日本及びその他の国におけるコニカミノルタ株式会社の登録商標または商標です。
※その他の記載の会社名、製品名は、それぞれの会社の商標または登録商標です。









