Wireless Digital Radiography System
AeroDR fine
認証番号:228ABBZX00115000
高解像、高感度、高画質。
高解像能による描出が、新しい可能性を見出しさらなる高感度化が、DR画像の潜在能力を引き出す
AeroDR fine 1012HQ |
製品の特長
DR画像の可能性を、さらに引き出す新たな技術を搭載
高解像能100μm
画素サイズ100μmを実現。ビニング処理により、100μm/200μmを撮影プロトコルに応じて使い分けすることが可能です。
TFTパネル画素設計


高DQE56% (1mR,1cycle/mm)
「高解像」を実現しながら、一方で「高DQE」化を目指し、従来モデルよりも高いDQE56% (1mR,1cycle/mm)を達成。 CR時代より培った独自の蒸着技術により根元から先端まで整ったCsI(ヨウ化セシウム)柱状結晶層を形成し、さらに発光の拡がりによる鮮鋭性の低下を抑えながら20%以上の厚膜化と、低ノイズ読出ICの開発により従来モデルから約40%のノイズを低減することで、高いDQEを実現しました。




妥協しない筐体設計、安全・安心はまずここから

スーパーモノコック筐体
従来のカーボンモノコック構造を継承するシームレス積層構造により、更に堅牢性を強化。コーナーブロックにオーステナイト系金属を採用したことにより、削れ・割れを防止します。

防水性能の強化
防水パッキンを挟む構造により、外装に追従しシール性を保つことができるため、落下等による衝撃を受けた場合も防水性能を維持しやすい構造になりました。

患者にやさしいテーパー形状
ポータブル撮影などにおいて患者の背中にパネルを挿しこむ際に、背中が痛くないよう配慮した設計になっています。

より使いやすくなったパネルGUI
より直観的に、安心して使いやすいようユーザーインターフェースのデザインを一新しました。

パネル全サイズで米国国防総省MIL規格*1を取得
シームレス積層構造によりAeroDR PREMIUMから約20%の耐衝撃性能の向上に成功。 米国国防総省MIL規格(MI L- STD- 810G)にパネル全サイズにおいてクリアしました。

防水性能IPX6*2を確保
AeroDR PREMIUMと同様、IPX6を確保。さらに、AeroDR fineではフロント板とバック板の間に防水パッキンを挟む構造を採用したことにより、落下等による衝撃を受けた場合でも防水性能を維持しやすい構造に強化されています。

安心の耐荷重性能
あらゆる荷重シチュエーションをシミュレーションし、筐体内構造の配置を最適化。多様な撮影シーンに耐えうる高い荷重性能が安心感をもたらします。



*1:Method 516.7 Procedure IV Transit Drop(122cm(48インチ)の高さから、合板の上に6平面、12稜線、8頂点、計26箇所を各1回落下させる。) 本製品の耐衝撃性能は、無破損・無故障を保証するものではありません。
*2:本製品の防水性能は、完全防水、無破損、無故障を保証するものではありません。
*3:パネルに負荷されても画像及びパネルに影響しない静荷重。 測定方法は当社基準による。 本製品の耐荷重性能は、無破損・無故障を保証するものではありません。
その安心感とやさしさは、“持ちやすさ”から
くぼみ設計による握力低減効果
パネルの裏面全周にくぼみ面を配置。 全方向からパネルに指を引っ掛けることが可能となり、把持性が大幅に向上。くぼみによる握力低減効果が、使用後の疲労感、落下の不安を大幅に軽減します。


あらゆるシチュエーションで効果を発揮




撮影ワークフローを効率化する機能
パネル単独撮影を実現する「Aero Storage」
パネル単独でも撮影可能な「Aero Storage」機能を搭載。最大100枚までパネル内部に画像保存が可能で、コンソールへの画像取り込みやオーダーとのマッチングも簡単な操作で行えます。オプションのウォッチングデバイスとの併用により、患者下に置かれたパネルを覗き込むことなく手元でパネルの状態が確認できるため、パネル単独撮影時でも安心して撮影に臨めます。

画像処理
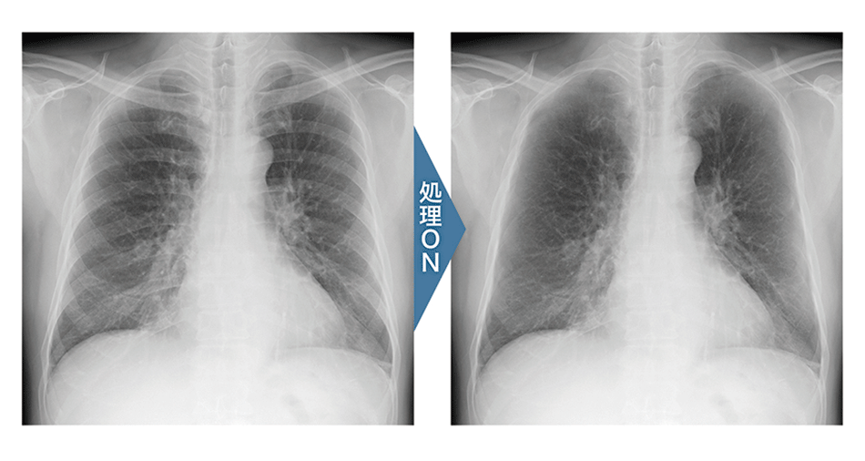
新画像処理エンジン「REALISM」 × AeroDR fine
新画像処理コンセプト
- 高解像度空間への拡張
- 画像全体の描出とコントラスト維持の両立
- 解像力を最大限に活かす高鮮鋭化の実現
- 画像全体の描出とコントラスト維持の両立の実現
- 粒状悪化を抑える、高性能の粒状性改善の実現
- 画像のヒストグラム解析結果に合わせて処理強度を調整する個別最適化の実現

高解像度空間への拡張
AeroDR fineの特徴である100μmを最大限に活かし、周波数強調処理の改良により、高周波領域を忠実に描出可能に。
高解像ならではの微細構造の表現を実現します。
REALISM処理

Hybrid処理(従来処理)

画像全体の描出とコントラスト維持の両立
改良されたダイナミックレンジ圧縮の処理と、新規のLUT(階調カーブ)により、低線量域から高線量域まで各構造物を分離良く表現し、白トビ・黒ツブレを起こすことなく画像全体を自然なままに描出することで立体感のある画像を提供します。


個別最適化を実現する「REALISM tune」
被写体内のヒストグラム解析によりダイナミックレンジ圧縮の処理強度を自動で最適化する技術、「REALISM tune」を新たに搭載。 被写体厚によらず全関心領域を視認可能にし、撮影後の調整作業負担を軽減します。


散乱線補正処理「インテリジェントグリッド」
散乱線補正処理「インテリジェントグリッド」との併用により、使用シーンはさらに拡大。ポータブル撮影などグリッドを使用しにくい撮影でも高品位な画像を提供します。



<対象部位>
頭部正面/頸椎/肩関節/胸部正面/胸部側面/胸椎/腰椎/胸腰椎/腹部正面/骨盤/股関節/大腿骨/小児胸部正面/鎖骨正面/膝関節正面/膝関節側面/膝関節斜位
※CS7のバージョンにより対象部位が異なります。
ノイズ抑制処理の改良により、さらなる被ばく線量低減に貢献
新画像処理エンジン「REALISM」の開発により、ノイズ抑制処理も一新。 高いDQEを実現するAeroDR fineとの併用により、CDRADファントムを用いたIQF-inv値による評価においては、0.1mR付近でも約55%の線量低減効果を示しており、臨床現場におけるさらなる被ばく線量の低減が期待できます。



医療現場の安全確保と、質の向上を目指して
カテ先・ガーゼ強調処理
ポータブル撮影における残存物確認や、カテーテルの先端位置、ルート確認をしやすくするための 専用画像処理を搭載しています。 適用対象部位を拡大したことにより、ガラス片の確認や、胆道造影、 椎体の穿刺画像など多様なシーンでその効果が期待できます。
<対象部位>
頭部(正面・側面・タウン)/聴器/頸部(正面・側面・斜位)/頸椎(正面・側面・斜位)/胸部(正面・側面)/胸椎(正面・側面)・腰椎(正面・側面・斜位)・腹部(正面/側面)/膀胱造影/手指骨/足根骨/足趾/足指骨/小児胸部(正面・側面)/乳幼児(胸腹部)/新生児(胸腹部)
※CS7のバージョンにより対象部位が異なります。


Bone Suppression処理(胸部骨減弱処理)
医師が頭の中でイメージしている「鎖骨 / 肋骨の減弱像」 を可視化することにより、読影を支援。 鎖骨・肋骨部分に隠れた病変の見落とし防止に貢献します。


※別途 Senciafinderの導入が必要です。
仕様・スペック
システム構成例
| 基本撮影 | ポータブルソリューション |
|---|---|
|
|
オプション
| パワーサプライユニット | ディテクターインターフェースユニット | マルチサイズクレードル |
|---|---|---|
![]() |
![]() |
![]() |
関連製品
| 画像診断ワークステーション CS-7 |
|---|
|
AeroDR fine主な仕様
| fine 1417HD | fine 1717HD | fine 1012HQ | |
|---|---|---|---|
| 販売名および製造販売認証番号 | デジタルラジオグラフィ― SKR 3000 228ABBZX00115000 |
||
| 検出方式 | 間接変換方式 | ||
| シンチレーター | CsI | ||
| パネルサイズ / 外形寸法 | 半切 14”×17” / 384(W)×460(D)×15(H)mm | 17”×17” / 460(W)×460(D)×15(H)mm | 四切 10”×12” / 282(W)×333(D)×15(H)mm |
| 重量 | 2.6kg | 3.2kg | 1.5kg |
| 画素サイズ | 100μm / 200μm | ||
| 画像領域 | 348.8×425.6mm (3,488×4,256画素) |
424.8×424.8mm (4,248×4,248画素) |
245.6×296.8mm (2,456×2,968画素) |
| A/D変換 | 16bit(65,536階調) | ||
| 使用可能なグリッド | 34本/cm 40本/cm 60本/cm | ||
| DQE | 56%(1mR,1cycle/mm) 72%(1mR,0cycle/mm) | ||
| 耐衝撃*5 | 落下120cm | ||
| 耐荷重*6 | 点荷重:180kg@Φ40mm 面荷重:400kg@有効画像領域全面 2辺支持荷重:130kg |
||
| 防水*7 | IPX6 | ||
| 通信 | 専用有線Ethernet接続 無線LAN(IEEE802.11a/n準拠) 5.0GHz / 2.4GHz |
||
| 無線暗号化 | 無線暗号化方式:AES 認証方式:WPA2-PSK |
||
| ダイナミックレンジ | 4桁 | ||
| プレビュー表示時間*8 | 約1秒 | ||
| サイクルタイム*8 | 約4秒(有線 / 無線接続時) | 約4秒(有線 / 無線接続時) | 約3秒(有線接続時)/ 約4秒(無線接続時) |
| 有線 / 無線切替所要時間 | 約1秒 | ||
| バッテリー種類 / バッテリー形態 | リチウムイオンキャパシター / 内蔵式 | ||
| バッテリーフル充電所要時間 | 30分以内 | 30分以内 | 20分以内 |
| 撮影可能画像数*9 | 309画像 / 8.6時間 | 276画像 / 7.6時間 | 165画像 / 4.5時間 |
| 待機状態でのバッテリー持続時間*10 | 約13時間 | 約12時間 | 約6時間 |
| 使用環境条件 | 動作時:10~35℃ / 35~85%RH(結露なきこと) 非動作時:-10~40℃ / 20~90%RH(結露なきこと) |
||
*5:Method 516.7 Procedure IV Transit Drop(122cm(48インチ)の高さから、合板の上に6平面、12稜線、8頂点、計26箇所を各1回落下させる。) 本製品の耐衝撃性能は、無破損・無故障を保証するものではありません。
*6:パネルに負荷されても画像及びパネルに影響しない静荷重。 測定方法は当社基準による。 本製品の耐荷重性能は、無破損・無故障を保証するものではありません。
*7:本製品の防水性能は、完全防水、無破損・無故障を保証するものではありません。
*8:機器構成、及び使用環境により性能は異なる可能性があります。 記載の性能は、画素サイズ200μm選択及びX線発生装置との曝射連動時。
*9:1検査3撮影5分検査サイクル(ポジショニング20秒を想定)、画素サイズ200μm選択及びX線発生装置との曝射連動時。
*10:記載の性能は、フル充電後の性能です。 また、記載の性能は、使用環境、使用頻度によって変動します(性能を保証するものではありません)。
※こちらに記載の内容、仕様および外観は性能向上のためお断りなく変更する場合があります。
※従来モデルは、AeroDR、AeroDR PREMIUMを指します。
※「AeroDR fine」は「デジタルラジオグラフィー SKR 3000(製造販売認証番号228ABBZX00115000)」の呼称です。
※「AeroDR」は「デジタルラジオグラフィー AeroDR SYSTEM(製造販売認証番号225ABBZX00011000)」の呼称です。
※「Senciafinder」は「画像診断ワークステーション Image Processing Pro(製造販売認証番号225ABBZX00123000)」の呼称です。
※「CS-7」及び「CS-7 Portable」は「画像診断ワークステーション CS-7(製造販売承認番号22200BZX00834000)」の呼称です。
※KONICA MINOLTAロゴ、シンボルマークは、日本及びその他の国におけるコニカミノルタ株式会社の登録商標です。
※AeroDRは、日本及びその他の国におけるコニカミノルタ株式会社の登録商標または商標です。









