Gold Anchorマーカ
Gold Anchorマーカ
商品情報
位置合わせマーカの使用目的
肺、前立腺、肝臓、膵臓、乳房の悪性腫瘍は、呼吸などによって位置が動くことがあります。そのような動く病変に対して放射線治療を行う場合、移動が想定できる広い範囲に照射することが一般的です。
しかし、その方法では病変周囲の正常な組織が被曝する危険性が高くなります。そのようなリスクを減らすため、位置合わせマーカを使用する高精度放射線治療が開発されました。
これは、動く病変にフィルムやデジタルimageで確認することができる識別マーカを植込み、狙った位置にピンポイントで照射する方法です。
コニカミノルタが販売する Gold Anchorマーカ は、従来品の問題点を克服し、患者様の負担を減らすことが期待出来る画期的な埋め込み型病変識別マーカです。
※本品は重粒子線治療および陽子線治療にも使用可能です。
※本品は治療用高エネルギーX線透視(MeV-X線)での使用は想定されておりません。
Gold Anchorマーカの特徴-1 低侵襲性

挿入に使用するニードル径が小さいため、マーカ植込み時の局所麻酔や出血・感染のリスクが少なく、患者様の体への負担を減らすことができます。
Gold Anchorマーカの特徴-2 瞬時の安定性
従来のマーカーでは、マーカの植込み後、「落ち着かせる」(組織内で従来のマーカーが移動するリスクを減らし、出血や腫れがおこる可能性を下げる)ため、7~21日間、患者様を自宅で待機させていました。
しかし、Gold Anchorマーカはその切込み形状により、非常に強く組織に固定されるため、短縮することが期待できます。
また、従来のマーカーでは、植込み時に、マーカーがつられて針に引き戻されることがありました。
Gold Anchorマーカは、折り畳む形状にすることで、マーカが針径より大きくなるため、マーカが針に引き戻されることはありません。

Ball shape

Linear shape

Tadpole shape
Gold Anchorマーカの特徴-3 優れた可視性
Gold AnchorマーカはMRI装置における可視性の向上をはかるため、99.5%の金と0.5%の鉄の合金としています。
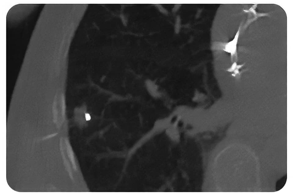
各種画像診断モダリティ(CT、CBCT、kV-X線、MRI、超音波)での明瞭な可視性があります。
また、穿刺針の先端部には、US対応(超音波が強く反射される加工が施されている)のため、針先は明瞭に視認できます。

KeV-X線

CT

MRI
仕様
仕様
Gold AnchorマーカはMRI装置における可視性の向上をはかるため、99.5%の金と0.5%の鉄の合金としています。
各種画像診断モダリティ(CT、CBCT、kV-X線、MRI、超音波)での明瞭な可視性があります。
また、穿刺針の先端部には、US対応(超音波が強く反射される加工が施されている)のため、針先は明瞭に視認できます。
| ニードル | サイズ | ● 25G | ● 22G | ● 20G | ||
|---|---|---|---|---|---|---|
| 長さ | 150mm | 80mm | 150mm | 200mm | 200mm | |
| マーカ サイズ |
Ø0.28 × 10mm | GA150-10 | - | - | GA200-10 | - |
| Ø0.28 × 20mm | GA150-20 | - | - | GA200-20 | - | |
| Ø0.4 × 10mm | - | GA80-10-B | GA150X-10-B | GA200-10-B | GA200X-10-B | |
| Ø0.4 × 20mm | - | GA80-20-B | GA150X-20-B | GA200-20-B | GA200X-20-B | |
ニードル外観

マーカ外観

適用臓器
Gold Anchor マーカは7つの臓器に適用されています。

前立腺

肺

肝臓

膵臓

乳房

腎臓

子宮
本体仕様
| 一般的名称 | 植込み型病変識別マーカ |
|---|---|
| 医療機器承認番号 | 22700BZX00216000 |
| クラス分類 | 高度管理医療機器(ClassⅢ) |
| 特定診療報酬算定医療機器の区分 | 経皮病変識別マーカ |
| 診療報酬項目 | K007-2 経皮的放射線治療用金属マーカー留置術 |
国内総代理店 株式会社千代田テクノル
URL:https://www.c-technol.co.jp/product/goldanchor/
※Gold Anchor マーカは、「Gold Anchor マーカ(承認番号:22700BZX00216000)」の呼称です。