セミナーレポート
CADを活用した検診デジタルマンモグラフィ
読影の効率化と正確性
~国産2社連携システムへの期待~
セミナーレポート
CADを活用した検診デジタルマンモグラフィ
読影の効率化と正確性
~国産2社連携システムへの期待~
2019年2月9日(土)、第28回日本乳癌画像研究会にて、コニカミノルタ株式会社とキヤノンメディカルシステムズ株式会社共催のイブニングセミナーが開催されました。東北医科薬科大学の鈴木昭彦先生を座長として、公益財団法人埼玉県健康づくり事業団の小笠原洋介先生、独立行政法人国立病院機構名古屋医療センター/愛知乳がん検診研究会の森田孝子先生にご講演いただきました。

座長
鈴木 昭彦 先生
東北医科薬科大学
乳腺・内分泌外科

演者
「システム構成例と運用」
小笠原 洋介 先生
公益財団法人埼玉県健康
づくり事業団 事業部 放射線課

演者
「読影医の立場から」
森田 孝子 先生
独立行政法人国立病院機構
名古屋医療センター 乳腺外科/
愛知乳がん検診研究会
システム構成例と運用
演者:公益財団法人埼玉県健康づくり事業団 小笠原 洋介 先生
01 対策型乳がん検診システムでのCADの運用
公益財団法人埼玉県健康づくり事業団ではデジタルマンモグラフィ検診車を用いて年間4万人の対策型乳がん検診を実施しており、短時間で大量の読影をこなす医師の読影環境をサポートする目的でマンモグラフィ診断支援システム(CAD)を2016年度に導入しました。CADは乳がんの二大所見といわれる「微小石灰化クラスタ」と「腫瘤陰影」の特徴を持つパターンを画像から自動的に検出し読影医に提示することで、見落としを最小限にすることを目的とした読影補助ツールです。図1はCADのシステム運用図です。撮影された画像は読影用データとCAD用データの2種類の形式でUSBメモリに書き出されます。施設内端末にUSBメモリを接続すると読影用データはPACSに、CAD用データはCAD装置に自動転送されCAD処理が実行されます。CADの検出結果がPACSに送信されると、読影用データに付帯される仕組みです。

CAD導入前後で私たちの日々の業務に大きな変更はありません。図2は画像データの流れ、データ形式とデータ容量について少し詳しく示したものです。読影用データは読影に適した輝度、コントラストなどに画像処理されています(DICOM - For Presentation)。一方、CAD用データは未処理データ(DICOM - For Processing)として転送され、CAD結果はDICOM SRデータとして読影用データに付帯されます。CAD結果データは約20kBほどと小さく、ストレージ容量を圧迫しません。

02 CADの有用性を医師に問う
CADの有用性を検証するために読影医18名にアンケートを実施した結果、CADは「見落とし防止」や「読影時間の短縮」において特に有用であることがわかりました。
CADを用いて読影した感想(10点満点式) 読影医6名平均
アンケート対象者:読影医18名。それぞれの読影経験年数は、5年未満が2名、10年未満が7名、10年以上が9名。年間の読影件数は、1千件未満が3名、1千件以上1万件未満が11名、1万件以上が3名、回答なし1名。点数が高いほど“Yes”に近い回答となります。

- 診断精度向上への効果
「診断の確からしさ」「見落としの防止」に対して高評価が得られ、診断精度の向上に期待できることがわかりました(図3)。

- 診断時間への効果
総じて評価は高く、特に所見を拾う時間が短縮されたという回答が多く見受けられました。また、忙しい読影医の疲労の低減にも貢献していることがわかりました(表1)。

- 検診発見乳がんの症例に着目したCADの有用性
対策型検診で乳がんが発見され確定診断のついた95名のマンモグラフィ画像を4名の読影医が見直し、症例ごとに、読影難度を3段階(難しい、普通、簡単)に分類。かつ、CADの有用性についてBeneficial(有益)、Detrimental(有害)、Other(それ以外)の3択で記入していただきました。早期乳がん(0~Ⅰ期)について特に興味深い結果が得られました(図4)。読影難度が高いほどBeneficialが多くなり、見落としを防ぐ効果が示唆されました。また、読影難度が高いほどDetrimentalが少なくなったことから、難度が高い症例の読影効率を上げている可能性もみてとれます。
03 3年間CADを使用しての所感
私は医師に対し、CADの特徴をよく説明してから読影を依頼するよう努めています。はじめは、CADの検出結果に半信半疑であったり、なぜこれを拾わない?などのご意見を多く頂きました。しかし、数多く読影していくなかで、CADの特性や傾向を理解し、読影に悩んだ際にCADではどのような結果となるかをイメージされる先生や、「CADくん」と親しみをこめて呼び、ご意見番のように活用して頂いている先生などもいらっしゃいます。乳がんの画像診断に関わる技術が日々、発展するなかで対策型検診において「今」できることは、受診率の向上と検診の質の担保です。対策型乳がん検診にCADを導入し正しく活用することは、受診者全員に一律かつ平等に精度の高い検診を提供すること、すなわち、早期発見率の向上と乳がん死亡率の減少につながる取り組みであると感じています。
読影医の立場から
演者:独立行政法人国立病院機構名古屋医療センター/愛知乳がん検診研究会 森田 孝子 先生
01 CADの歴史
日本での乳がん検診の読影は、多くの場合、日常臨床とは別に時間を確保して行われているため、できるだけ効率的に、より多くのマンモグラムの読影が求められます。このような環境の中でも診断の正確度や再現性を向上させることを目指して、CADの開発に関わり、CADを活用した読影の確立に取り組んできました。CADは米国では1998年に商品化されていますが、日本で基礎研究が始まったのは2003年で、その後2006年にはコニカミノルタ社による臨床研究がなされ、現在※の「NEOVISTA I-PACS CAD typeM」の製品化へとつながりました。そして今のバス検診では、キヤノンメディカルシステムズ社のデジタルマンモグラフィ装置「Pe・ru・ru Digital」と組み合わせたシステムが主流となっています。
※2019年当時

02 日本におけるCADの開発
まだアナログマンモグラフィを使用していた2003年頃から、遠藤登喜子先生と愛知乳がん検診研究会メンバーと共にCADの開発に参加しました。メーカーの技術者と一緒に画像を観察し、例えばこれは石灰化、これは線維の交差、というのをひとつひとつ判別してCADに教え込みました。はじめのうちは検出の誤りも多かったのですが、時間をかけて医師の判断を蓄積し、信頼して使うことができるまでCADの検出精度を高めていきました。開発途上の試作品を用いて2009年に観察者実験を実施しました。1,200症例のマンモグラムから抽出したカテゴリー3以上の84症例とカテゴリー1,2の84症例からなる画像セットを用い、6名の検診マンモグラフィ読影認定医師が、まずCADなしで読影した後、CADの結果マークを参照して見直すという手法をとりました。

図5は青線がCADなしの場合、赤線がCADありの場合のROC曲線で、6名の先生の平均値です。CAD結果を参照して読影することでROC曲線下面積(AUC)は統計的有意に増大しました。さらに特異度をあまり下げることなく感度が上がったという結果を得ることができました。加えて特筆すべきは、読影医の疲労度とCADの効果についての知見です。この読影実験は同じ日に3セッション行ったのですが、2セッション目以降はCADの効果がより大きいという結果になりました。
03 検診画像におけるCAD検出結果の例
2018年秋より愛知乳がん検診研究会のバス検診でCADの運用を始め、その有用性を評価中です。以下に一部の症例とCADの検出結果をお見せします。
【症例1】 淡く不明瞭な微小石灰化クラスタ
CADは、症例1のような非常に淡い石灰化も検出します。以前は必ず最初にCADなしで読影していましたが、今は先にCAD結果を見て「このケースは石灰化があるか」を認識しながら進めるという使い方もします。

【症例2】 ごく少数の微小石灰化
非常に淡い石灰化が4つほど検出されています。分泌型の石灰化ということで経過観察にする判断もありうると思いますが、これとよく似た病変で実はHER2陽性乳がんの初期段階と判明した症例があったことを想起し、要精査としました。CADが注意喚起してくれた事例です。

【症例3】 FAD
CADは左右の乳房を比較することで濃度の上昇を検出するアルゴリズムを搭載しています。症例3で、CCのCADマークは病変の可能性が高いFADを的確に指し示していますが、MLOにあるような偽陽性もみられます。CADの指摘を病変とみるのか、乳腺の重なりと読み解くかどうかの判断の際、読影医には高い読影力が求められます。

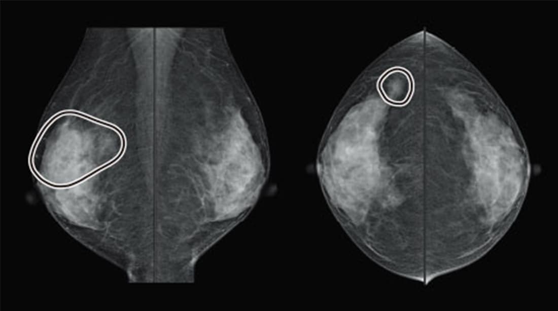
【症例4】 Distortion
左外上部が気になるかと思いますが、CADもDistortionを正しく指摘しています。比較読影でも濃度の上昇がみとめられました。このような陰影をCADは読み落とさずに検出しており、開発当初に比べると性能がかなり上がっています。

04 CADの性能と今後への期待

現在のCADの性能を見ると、石灰化の指摘率は99.6%と高い精度であると考えられます。偽陽性については少し多いと思われるかもしれませんが、改良を重ね減ってきたといえます。読影時間への影響も評価中で、まだ初期段階の結果ですが、CADなしでは1症例あたり平均55秒だったものが、CADありでは平均43秒と短縮しています。以上より、CADは読影精度の向上と読影医の負担軽減に寄与することが示唆されました。そして、読影医自身がCADの性能と性格(長所や短所)をしっかり知ることで、CADは読影時の心強いサポートツールになりうると考えています。
