乳房超音波検査
乳房超音波検査とは
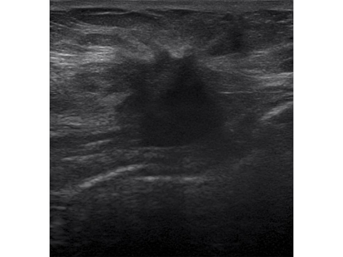
超音波検査(エコー)は、超音波を出す「プローブ」をあて、はねかえってくる超音波を画像化して、乳房内部の様子を画像にします。乳腺組織の密度が高い若年層にも向いており、マンモグラフィだけでは正確な診断がしにくい乳腺の中に埋もれたしこりを検出することができるので、マンモグラフィ検査と組み合わせることで診断率がアップします。超音波検査では、乳房に専用のジェルをつけ、その上を小さな「プローブ」をすべらせて左右の胸を調べます。

コニカミノルタの超音波診断装置
超音波診断装置「SONIMAGE HS2」は、コニカミノルタ独自のプローブ技術と画像処理技術の融合により、小さなしこりや、深い場所にあるしこりも鮮明に映し出します。