ニュースリリースに記載されている内容は、報道発表日現在の情報です。お客様がご覧いただいた時点で、情報が変更(生産・販売が終了している場合や、価格、仕様など)されている可能性がありますのであらかじめご了承下さい。電話でのお問い合わせはこちらをご覧下さい。
1ランク上の多彩な機能を搭載した
カラー超音波画像診断装置『SONIMAGE (ソニマージュ) 613』新発売
2011年3月28日
コニカミノルタエムジー株式会社(本社:東京都日野市、社長:児玉 篤、以下 コニカミノルタ)は、カラー超音波画像診断装置『SONIMAGE 613』を2011年4月1日に発売致します。
| 製品名 | SONIMAGE 613 承認番号 223AABZX00009000 |
|---|---|
| 発売日 | 2011年4月1日 |
| 標準小売価格(税別) | 30,300,000 円(本体部) |
| 主な特長 | 1. 動画記録時間が従来※1の10倍以上 2. 空間コンパウンド処理機能搭載 3. 上下2画面表示機能搭載 |
超音波画像診断装置は、受診者の負担が少なく、リアルタイムに画像を観察できるため、幅広い臨床領域で使用されています。
今回発売致します『SONIMAGE 613』は、動画記録時間が従来のMid-Rangeクラスの10倍以上、空間コンパウンド処理機能をはじめとする1ランク上の多彩な機能を搭載した、コンパクトサイズかつ軽量の超音波画像診断装置で、2009年9月に発売後その高い操作性と高画質で好評を得ております『SONIMAGE 513』の上位機種にあたります。
本製品は、同一部位に対して複数の方向から超音波を送受信して画像を構成する空間コンパウンド処理を行うことにより、被検部位の裏側近くまで回り込んだ検査画像を提供します。また、動脈硬化の進行度の診断において求められる頚動脈血管壁の内中膜複合体厚(IMT)計測を自動的に計測し表示するAuto IMT機能もオプションで搭載でき、スムーズな検査をサポートします。
さらに、従来の左右2画面表示に加えて、上下に2画面を配置する機能も搭載しており、整形外科などで求められる横に広い検査画像での比較を可能にしています。モニターサイズも17インチと、従来よりも大きめのサイズを採用し、より見やすい画像環境を提供しています。
また、本製品とCR※2コンソール/ビューワ/ファイリング機能を一体化したオールイン端末「REGIUS Unitea (レジウス ユニティア)」を連携させることにより、検査画像をCRなどと合わせて一元管理することができます。
コニカミノルタは、今後も画像診断の幅広いニーズに対応するソリューションの提供に努めてまいります。
- ※1
- 弊社SONIMAGE 513をはじめとする一般的なMid-Rangeクラスの機器と、最大シネ駒数の比較において。
- ※2
- Computed Radiography: デジタルX線画像読取装置
カラー超音波画像診断装置『 SONIMAGE 613 』の主な特長
1.動画記録時間が従来の10倍以上
最大シネ駒数が2500フレーム以上と従来のMid-Rangeクラス製品より一桁向上した性能を実現、動画の記録時間が10倍以上になりました。
2.空間コンパウンド処理搭載
同一部位に対して複数の方向から超音波を送受信して画像を構成する空間コンパウンド処理や、画像のエッジを強調させるDynamic MR™など、1ランク上の多彩な画像処理機能を搭載し、よりノイズの少ないシャープな検査画像を提供します。
また、頚動脈の内中膜複合体厚の計測を自動的に計測し解析表示するAuto IMT機能もオプションで搭載可能です。
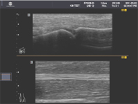
3.上下2画面表示機能搭載
上下に2画面表示する機能が搭載され、疾患部位と健常部位の画像を上下に表示することで、横に広い検査画像を比較することが可能です。この機能により、整形外科などでも大変使い易くなりました。
4.コンパクトで軽量
大きな設置スペースを必要としないコンパクトボディ設計です。また、重さも61Kgと軽量で、なめらかに動く大型キャスターにより、簡単に移動ができます。
5.REGIUS Uniteaを使えば画像の一元管理が可能に
標準で、オールイン端末「REGIUS Unitea」とDICOM※3接続が可能です。 CR、内視鏡などの画像と合わせて、検査画像の一元管理が可能です。
- ※3
- Digital Imaging and Communication in Medicine: ACR-NEMA(ACR:北米放射線専門医会とNEMA:電気工業会が共同で結成した委員会)によって定められた医療画像機器のためのネットワーク規格。
カラー超音波画像診断装置『 SONIMAGE 613 』の仕様
| 走査方式 | 電子コンベックス走査、電子リニア走査、電子セクタ走査 |
|---|---|
| 走査モード | Bモード、Mモード、カラードプラモード、パルスドプラモード、パワードプラモード、連続波ドプラモード(オプション) |
| 画像処理 | Full Spectrum Imaging、Multibeam Processing、Speckle Reduction Filter、 Quick Scan、Tissue Harmonic Imaging、Tissue Doppler Imaging 、 空間コンパウンド |
| オプション | Auto IMT機能、Dynamic MR™、DICOM接続ライセンス、フットスイッチ、循環器計測ソフトウェア、各種プリンター |
| データ出力 | CD/DVD、USB (BMP、JPEG、TIFF、DICOM) |
| モニター | 17インチLCD |
| 電源電圧 | AC100V/ 6.8A・50/60Hz |
| 外形寸法 | W 450×D 700×1340~1490mm (最大) |
| 重量 | 61kg (本体のみ) |